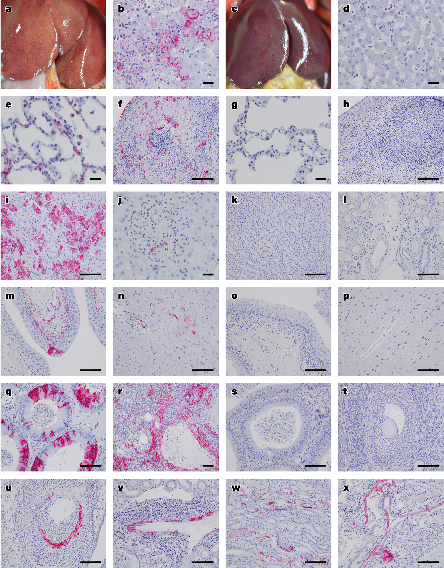
Fig. 4: Representative gross pathology and IHC for anti-LASV antigen.
From: Oral 4′-fluorouridine rescues nonhuman primates from advanced Lassa fever

Images are shown for untreated control AGMs (a,b,e,f,i,j,m,n,q,r) and 4′-FIU-treated AGMs (c,d,g,h,k,l,o,p,s–x). a, Necrotizing hepatitis (C4). b, Hepatitis with IHC-positive inflammatory cells and hepatocytes (C6). c, No gross hepatic lesions (Tx3). d, No hepatitis or IHC labelling (Tx2). e, Interstitial pneumonia with IHC-positive alveolar septal walls and alveolar macrophages (C4). f, Necrotizing splenitis with IHC-positive mesothelial lining cells, endothelium and mononuclear cells of red and white pulp (C2). g, No pneumonia or IHC labelling (Tx1). h, No splenitis or IHC labelling (Tx2). i, IHC-positive adrenal cortical cells (C4). j, IHC-positive endothelium of glomerular tuft in kidney (C3). k, No IHC labelling of adrenal gland (Tx3). l, No IHC labelling of kidney (Tx2). m, Cystitis and IHC labelling of the endothelium and mononuclear cells within the subepithelial stroma of the urinary bladder (C3). n, Perivascular cuffs with IHC-positive mononuclear cells and neurons in the brain (C6). o, No cystitis or IHC labelling (Tx2). p, No IHC labelling of the brain (Tx5). q, IHC labelling of endothelium and the epithelium lining the epididymal tubules of the testis (C3). r, IHC labelling of the thecal cells of the ovary (C4). s, No IHC labelling of the testis (Tx2). t, No IHC labelling of ovary (Tx4). u, Vasculitis and IHC labelling of the smooth muscle of medium-calibre vessel, testis (Tx1). v, Perivasculitis and IHC labelling of the smooth muscle of a medium-calibre vessel, kidney (Tx4). w, IHC labelling of endothelium of the renal medulla (C6). x, Choroid plexitis with IHC labelling of ependyma cells in the brain (Tx4). Scale bars: 100 µm (f,h,i,k–x), 10 µm (b,d,e,g,j).