Fig. 2: Inhibition of ACOD1 reduces global H3K4me3 and decreases pathogenic ZFTA–RELA levels.
From: ZFTA–RELA ependymomas make itaconate to epigenetically drive fusion expression

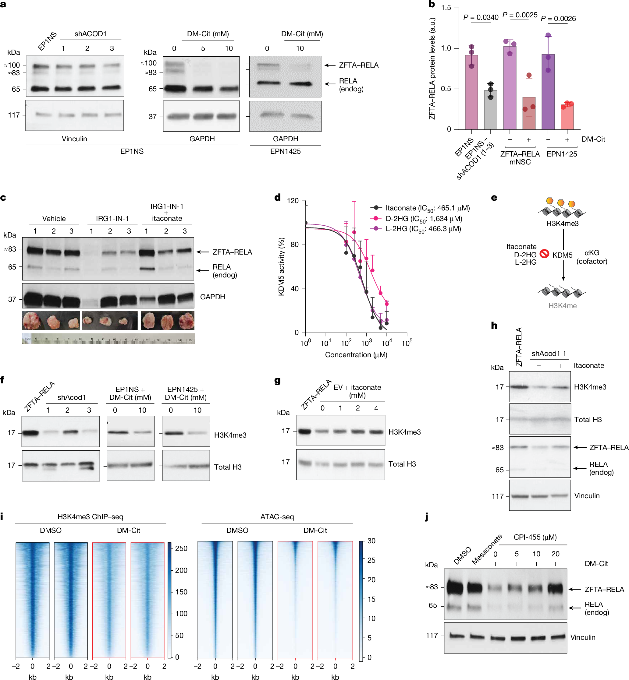
a, ZFTA–RELA and endogenous RELA levels relative to vinculin or GAPDH in EP1NS cells with or without shACOD1 or DM-Cit (5–10 mM for 24 h) treatment, and in EPN1425 cells with or without DM-Cit (10 mM for 24 h) treatment. b, ZFTA–RELA protein levels (normalized to vinculin or GAPDH) in EP1NS cells with or without shACOD1-1–shACOD1-3 treatment, and ZFTA–RELA mNSCs and EPN1425 cells with or without DM-Cit (10 mM for 24 h) treatment (n = 3 each). c, ZFTA–RELA, endogenous RELA and GAPDH levels in tumours (n = 3 each) from animals in Fig. 1l treated with vehicle, IRG1-IN-1 (1 mg kg–1, i.p.) or a combination of IRG1-IN-1 and itaconate (25 mg kg–1, i.v.). Tumour images are shown below. d,e, KDM5 enzyme inhibition activity (shown as mean ± s.d.) (d) and schematic (e) of itaconate (n = 9), D-2HG (n = 5) and L-2HG (n = 5) activity. IC50 values are indicated. f, Blots of H3K4me3 and total H3 in ZFTA–RELA mNSCs with or without shAcod1 treatment (left), and EPN1425 and EP1NS cells with or without DM-Cit (10 mM for 48 h) treatment (right). g, Blot of H3K4me3 and total H3 in EV mNSCs with or without itaconate (5–10 mM for 96 h) treatment. h, H3K4me3, total H3, ZFTA–RELA, endogenous RELA and vinculin in ZFTA–RELA mNSCs with control (lane 1), shAcod1 (lane 2) or shAcod1 treatment plus 1 mM itaconate for 48 h (lane 3). i, Heatmaps of H3K4me3 ChIP–seq (left) and ATAC-seq (right) from ZFTA–RELA mNSCs treated with vehicle or DM-Cit (10 mM for 48 h) showing downregulated genes. j, ZFTA–RELA, endogenous RELA and vinculin in ZFTA–RELA mNSCs treated with DMSO, mesaconate (an itaconate analogue that does not inhibit ACOD1 (refs. 26,61) used as a control, 10 mM) or DM-Cit (10 mM) along with indicated concentrations of the KDM5 inhibitor CPI-455 for 48 h. Data are the mean ± s.d. and analysed by one-way ANOVA with Tukey’s multiple comparisons test (b) or nonlinear regression-fit analysis (d), all with 95% CI. n indicates independent samples.