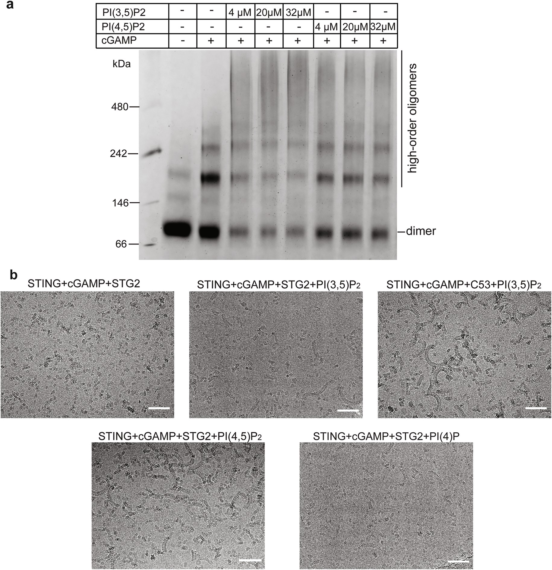
Extended Data Fig. 1: PIPs enhance the high-order oligomerization of STING to different extents.
From: Regulation of STING activation by phosphoinositide and cholesterol

(a) Analyses of the high-order oligomerization of STING treated with various concentration of PI(3,5)P2 and PI(4,5)P2 by native PAGE. The image shown here is a representative of three biological repeats. (b) Cryo-EM micrographs showing high-order oligomers of STING bound to different combinations of agonists and PIPs. cGAMP and STG2 induced relatively short oligomers of STING. Different PIPs promoted the formation of longer oligomers to different extents. The micrographs are representative images from more than 5,000 distinct regions. The scale bar is 500 Å.