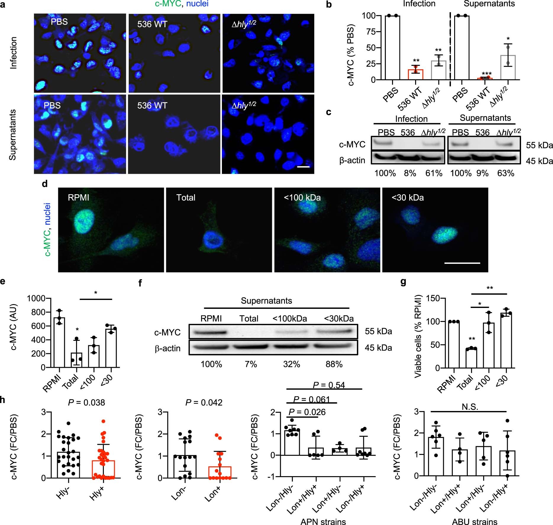
Extended Data Fig. 4: Role of hly I and hly II for MYC inhibition.

a, Inhibition of c-MYC staining in human kidney cells infected with E. coli 536 or exposed to its supernatant (SN). Partial inhibition by E. coli 536 Δhly1/2 or its supernatant. b, Quantification of fluorescence intensity in (a). (50 cells, n = 2 experiments). c, Western blot analysis of the corresponding cell extracts. d-f, Molecular size filtration of the E. coli 536 SN. The α-hemolysin (HlyA) protein is 109 kDa, predicting that HlyA should be excluded from the < 100 kDa fraction. A second fraction of < 30 kDa was also collected. The <100 kDa fraction inhibited c-MYC as shown by confocal imaging (n = 3 experiments, scale bars = 10 μm) in (d) and quantification in 50 cells in (e), and Western blots analysis (n = 3 experiments) in (f). The < 30 kDa fraction was less active. The < 100 kDa fraction did not affect cell viability quantified by ATP lite (compared to untreated cells, n = 3 experiments). h, Hemolysin (Hly)- and Lon protease (Lon) production in clinical APN and ABU isolates from the collection shown in Fig. 1c. Hemolysin (Hly) production was detected on blood agar. h, c-MYC degradation was most efficient for APN strains that expressed both Lon and Hly (Western blot analysis). Data are presented as mean ± s.d. and analysed by two-tailed paired t-test. *P < 0.05, ** P < 0.01, *** P < 0.001 (e, g) and Mann-Whitney U-test (h). N.S. = no significance.