Extended Data Fig. 1: Experiments Supporting Main Fig. 2.
From: Direct targeting of amplified gene loci for proapoptotic anticancer therapy

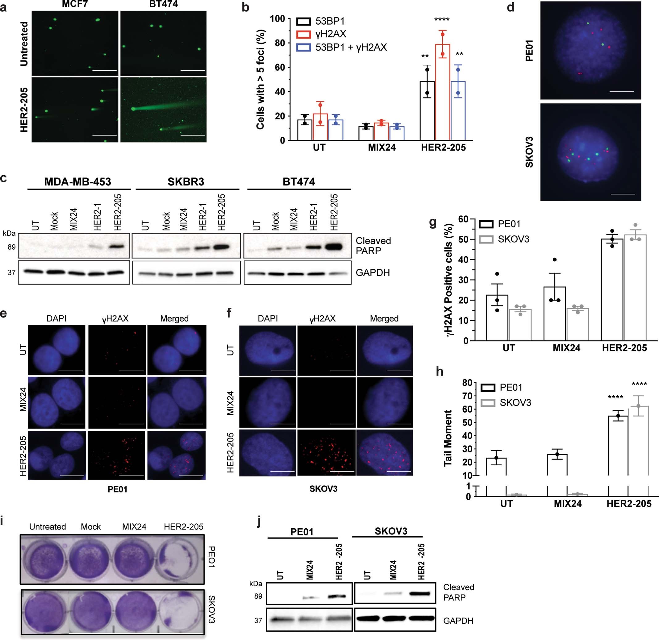
(a) Representative images of neutral comet assays performed 24 h after HER2-205 treatment in MCF7 and BT474 cells (scale bars, 200μm). (b) Quantification of cells with greater than 5 γH2AX and/or 53BP1 foci per nuclei in BT474 cells treated with HER2-205 or MIX24 (mean ± SD; two-way ANOVA with Tukey test post-hoc; ****P < 0.0001, **P < 0.01; 50 cells per sample, n = 2 independent experiments). (c) Triplex formation induces apoptosis in HER2-positive breast cancer cell lines as measured by Western blot analysis of cleaved PARP (n = 3 independent experiments). (d) Detection of HER2 copies in interphase nuclei by dual color FISH with HER2 probe (red) and chromosome 17 probe (green), scale bars, 2.5 μm. (e) Immunofluorescence of γH2AX in PE01 ovarian cancer cells 24 h post-treatment with HER2-205 or MIX24 (scale bars, 5 μm). (f) Representative immunofluorescence images of γH2AX foci in SKOV3 ovarian cancer cells 24 h following treatment with HER2-205 or MIX24 (scale bars, 2.5 μm). (g) Frequency of PE01 and SKOV3 cells positive for γH2AX following 24 h treatment (mean ± SD; two-way ANOVA with Tukey test post-hoc; ***P < 0.001, **P < 0.01; 50 cells per sample, n = 2 independent experiments). (h) Quantification of triplex-induced DNA double strand breaks using the neutral comet assay as measured by tail moment (mean ± SEM; two-way ANOVA with Tukey test post-hoc, ****P < 0.0001; n = 150 comets). (i) Monolayer growth assay demonstrates a decrease in cell survival in PE01 and SKOV3 cells treated with HER2-205 72 h after treatment. (j) Western blot analysis of activation of apoptosis as measured by cleaved PARP in ovarian cancer cells following TFO treatment (n = 3 independent experiments).