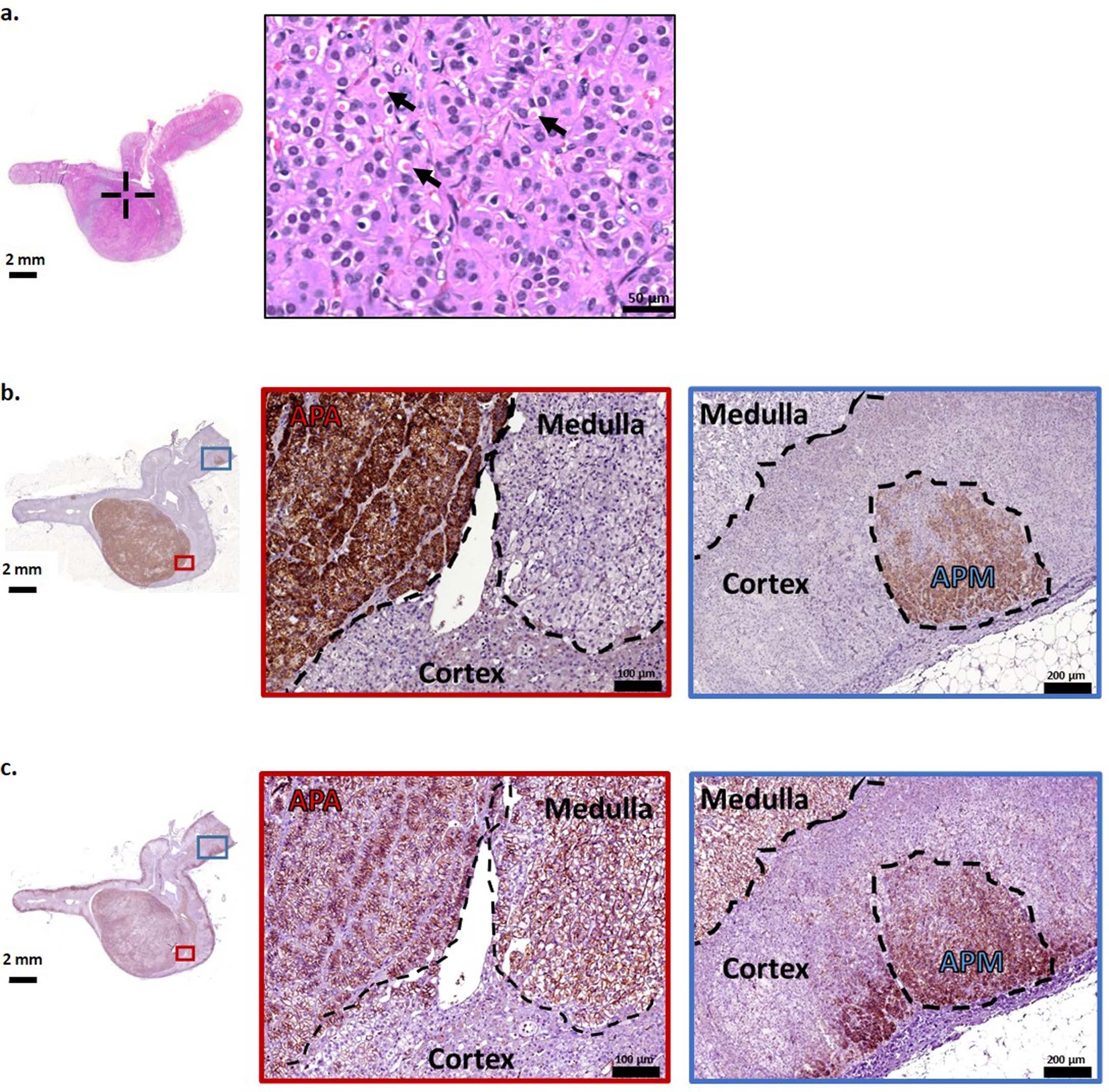
Extended Data Fig. 1: Characteristics of CADM1 V380D mutant APA.

a, Hematoxylin and eosin staining of CADM1 V380D mutant APA (P1). Low and high power views of hematoxylin and eosin staining in APA of P1 displaying compact cells and numerous spironolactone bodies (black arrows). b,c, Immunohistochemistry for CYP11B2 (b) and CADM1 (c) in CADM1 V380D mutant APA (P1). CADM1 is highly expressed in the APA (red box) and adjacent aldosterone-producing micronodules (APM, blue box), with membranous staining also seen in the medulla. The magnified area of the red box shows the border between adrenal medulla and APA, whereas the blue box shows CADM1 peri-capsular staining of the outer cortex. Scale bar as indicated on image.