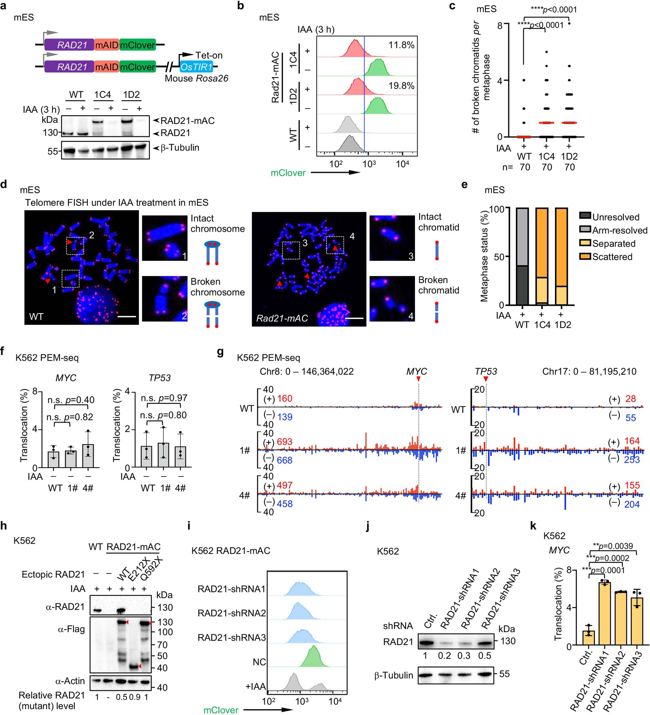
Extended Data Fig. 2: RAD21 depletion causes DNA breaks in mES and K562 cells.
From: Cohesin maintains replication timing to suppress DNA damage on cancer genes

a Western blotting for validation of Rad21-mAC (1C4 or 1D2) mES cells. The result was confirmed by two independent replicates. b Flow cytometry analyzing mClover fluorescence of WT and Rad21-mAC mES clones with or without IAA treatment. The percentage of mClover-positive cells is labeled. c Number of broken chromatids in metaphase mES cells. Red lines, medium; n, examined cell number; two-sided t-test; ****, p < 0.0001. d Examples of chromosomes and chromatids that were intact or broken (red triangles). Telomeres are red dots. Two independent replicates. Bar (white lines), 10 μm. The exemplified chromosome and chromatids are zoom-in with 3.5x magnification. e Percentage of four types of metaphases in IAA-treated WT and Rad21-mAC mES cells. The four states of cohesion phenotypes were classified as previously24: Unresolved, unresolved sister chromatid arms; Arm-resolved, resolved arms of sister chromatids; Separated, separated sister chromatids that remain closed; Scattered, scattered chromatids. f Translocation frequency in IAA-untreated cells. Mean ± SD from three biological replicates; two-sided t-test. g Bar plots exhibiting translocation junctions captured from MYC (left) and TP53 (right) bait in IAA-treated cells. The number of translocations was normalized to 100,000 editing events. The red arrow and dashed line indicate the bait site. Numbers of junctions in + (red) or – (blue) orientation are shown. h Protein level of ectopically expressed RAD21 and mutants (Flag-tagged, red triangles). Relative amounts of RAD21 variants were indicated at the bottom. Two independent replicates. i Flow cytometry analyzing mClover fluorescence of RAD21-mAC cells with shRNA treatment for 2 days. j Protein level of RAD21 in WT cells after shRNA treatment for 2 days. Numbers show the relative amount of remaining RAD21 to that of WT cells. Two independent replicates. k Frequency of translocations after RAD21 knock-down in WT K562 cells. Mean ± SD from three biological replicates; two-sided t-test; **, p < 0.01; ***, p < 0.001.