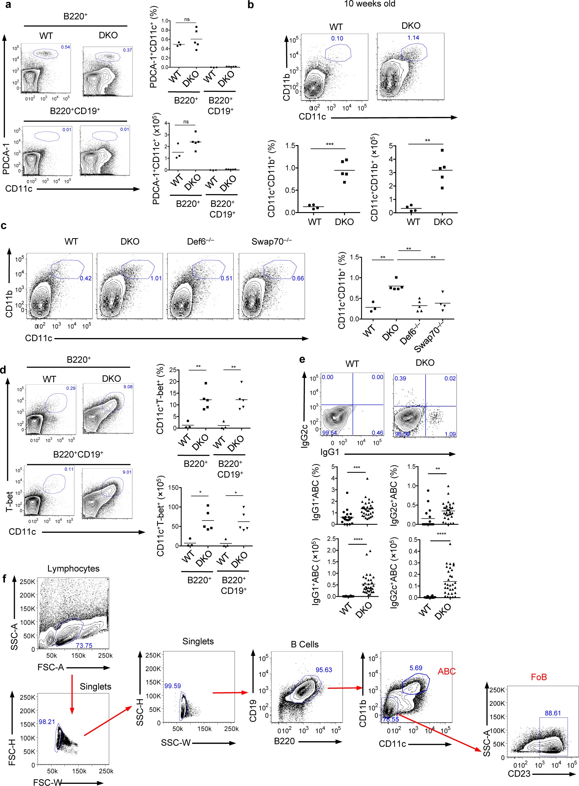
Supplementary Figure 1: Spontaneous population expansion of ABCs in DKO mice
From: Regulation of age-associated B cells by IRF5 in systemic autoimmunity

(a) Spleens of WT and DKO female mice (>20 weeks old) were evaluated by flow cytometry for the presence of plasmacytoid dendritic cells. Representative FACS plots for CD11c and PDCA-1 expression after gating on B220+ or B220+CD19+ cells. Graphs show the frequencies and numbers for individual mice and mean value of 3 independent experiments (n = 3 WT and 5 DKO). ns: not significant. (two-tailed Student-t test). (b) Representative FACS plots for CD11b and CD11c expression after gating on B220+CD19+ cells in the spleens of 10 weeks old WT and DKO female mice. Graphs show frequencies and numbers of individual mice and mean value of 2 independent experiments (n = 4 WT and 5 DKO). ** P = 0.0011; *** P = 0.0001. (two-tailed Student-t test). (c) Representative FACS plots for CD11b and CD11c expression after gating on B220+CD19+ cells in skin draining lymph nodes of WT, DKO, Def6–/– and Swap70–/– mice (18–24 weeks old). Graphs show frequencies and numbers of individual mice and mean value of 3 independent experiments (n = 3 WT, 5 DKO, 5 Def6–/–, 4 Swap70–/–). ** P = 0.0018 (WT vs. DKO), P = 0.0011 (DKO vs. Def6–/–), P = 0.0055 (DKO vs. Swap70–/–) (One-way ANOVA followed by Bonferroni’s multiple comparisons test). (d) Representative FACS plots for CD11c and T-bet expression gated on B220+ cells or B220+CD19+ cells. Graphs show frequencies and numbers for individual mice and mean values of 3 independent experiments (n = 3 WT, 5 DKO). * P = 0.0137 (B220+) and P = 0.0131 (B220+CD19+); ** P = 0.068 (B220+) and P = 0.0075 (B220+CD19+). (two-tailed Student-t test). (e) Representative FACS plots for IgG1 and IgG2c expression on B220+ CD19+CD11c+CD11b+ cells from WT and DKO female mice (>20 weeks old). Graphs show frequencies and numbers for individual mice and mean values of 16 independent experiments, (n = 17 WT and 30 DKO). ** P = 0.0062; *** P = 0.0006; **** P < 0.0001. (two-tailed Student-t test). (f) Gating strategy employed to sort ABC and FoB cells.