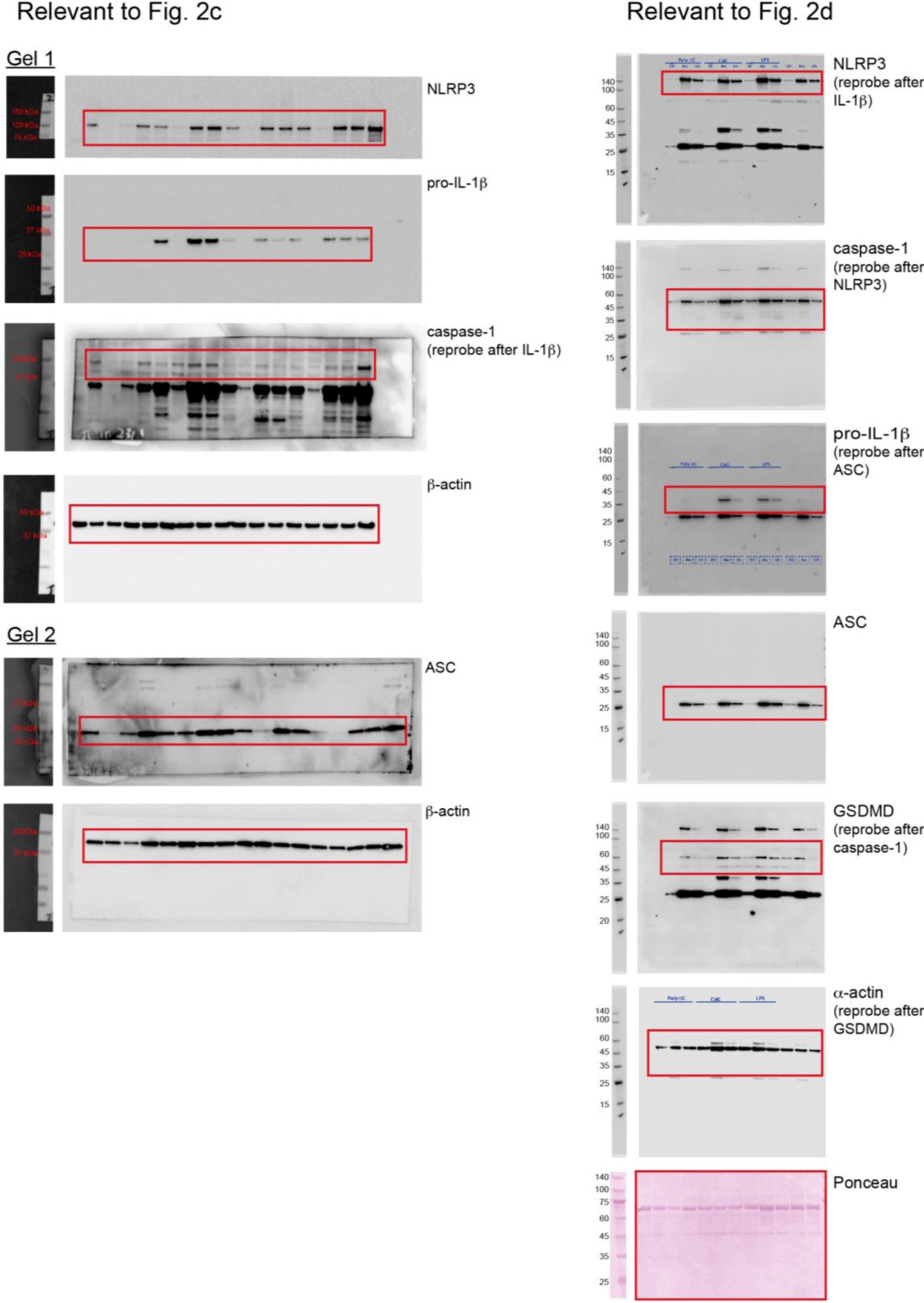
Supplementary Fig. 6 | Nature Immunology