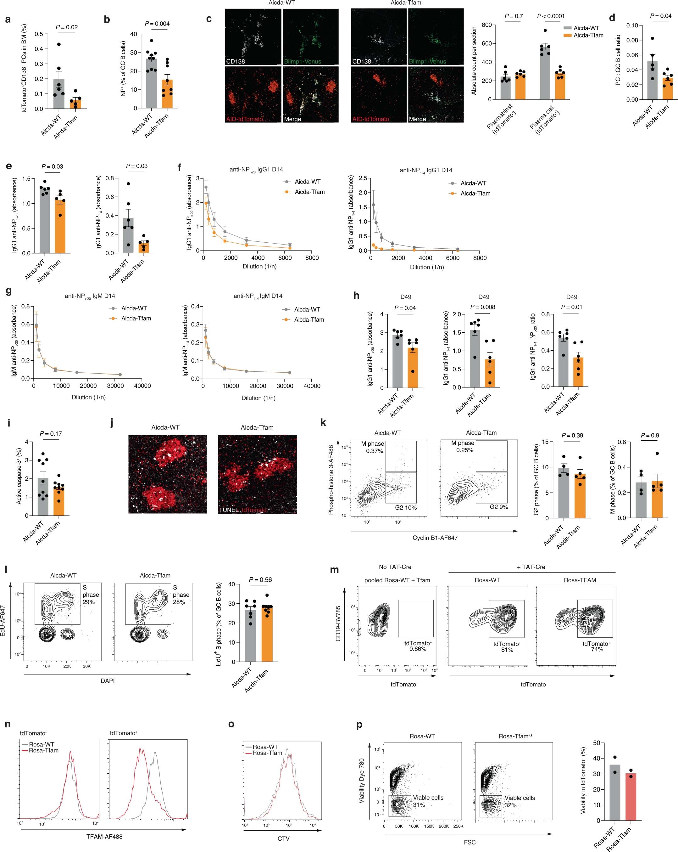
Extended Data Fig. 3: GC B cells require TFAM.

(a) tdTomato+CD138+ plasma cell percentages within Dump¯ bone marrow cells from Aicda-WT (n = 6) and Aicda-Tfam (n = 5) mice at day 12 post SRBC-immunization. (b) Proportional comparison of NP-PE or NP-APC-binding GC B cells in NP-CGG-immunized Aicda-WT (n = 9) and Aicda-Tfam (n = 8) mice at day 14. (c) Plasma cell clusters in splenic red pulp following NP-CGG immunization. Scale bar, 50μm. Counts of tdTomato+Blimp1-mVenus+CD138+ post-GC plasma cells and tdTomato−Blimp1-mVenus+CD138+ plasmablasts. Results pooled from n = 3 non-serial sections per mouse (n = 2 mice per genotype). (d) Ratio of GC B cells (IRF4− CD38− tdTomato+) to post-GC plasma cells (IRF4+tdTomato+) in Aicda-Tfam (n = 6) and Aicda-WT mice (n = 5). (e-h). ELISA quantifications and dilution curves of IgG1 or IgM anti-NP antibodies (NP1-4-BSA and NP>20-BSA respectively) in sera from Aicda-Tfam (n = 5) and Aicda-WT mice (n = 6) at day 14 (e-g) or day 49 (h) (n = 6 per genotype) following NP-CGG immunization. (i) Active caspase 3+ apoptotic GC B cell percentages in Aicda-Tfam and Aicda-WT mice (n = 9 per group). (j) In situ TUNEL assay on Aicda-WT and Aicda-Tfam spleens following SRBC immunization. Scale bar, 50μm. (k) Representative flow cytometry plots and quantification of M and G2 cell cycle stages in GC B cells from Aicda-WT (n = 4) and Aicda-Tfam mice (n = 5). (l) Representative flow cytometry plots and quantification of EdU+ GC B cells at S phase from Aicda-WT (n = 7) and Aicda-Tfam mice (n = 8). (m-p) Naïve B cells from Rosa26STOPtdTomato-WT and Rosa26STOPtdTomato-TfamloxP mice (n = 2) were TAT-Cre treated and in vitro-stimulated with anti-IgM + anti-CD40 + IL-4 for four days. Representative flow cytometry plots of tdTomato (m), TFAM (n), and CTV (o), and viability (p). Statistical significance was calculated by unpaired two-tailed t-test (b,d,e,h,i,k,l), two-tailed Mann Whitney U test (a), two-way ANOVA with Šidák’s multiple comparison test (c). Data are presented as the mean ± s.e.m. Data representative of ≥2 independent experiments in all cases.