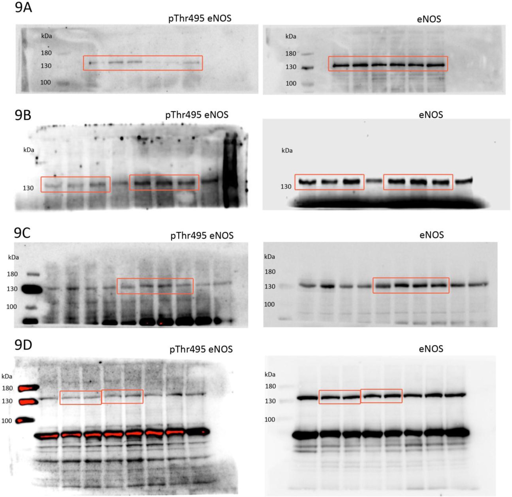
Supplementary Figure 14: Full immunoblots image of panels in Supplementary Figure 9.
From: Dietary salt promotes neurovascular and cognitive dysfunction through a gut-initiated TH17 response

Membranes were incubated with anti-pThr495 eNOS antibody (1:500) overnight. After incubation with secondary antibody, protein bands were visualized with Super Signal West Femto Maximum Sensitivity Substrate (Thermo Fisher Scientific) on a Bio Rad ChemiDoc MP Imaging System. After washes with TBS/0.1% Tween-20 (TBST), membranes were incubated with anti-eNOS antibody (1:1000) overnight. eNOS bands were visualized with Clarity Western ECL Substrate (BioRad). Samples from microvessels preparations and cultures of human brain endothelial cells (≈30 µg of protein/lane).