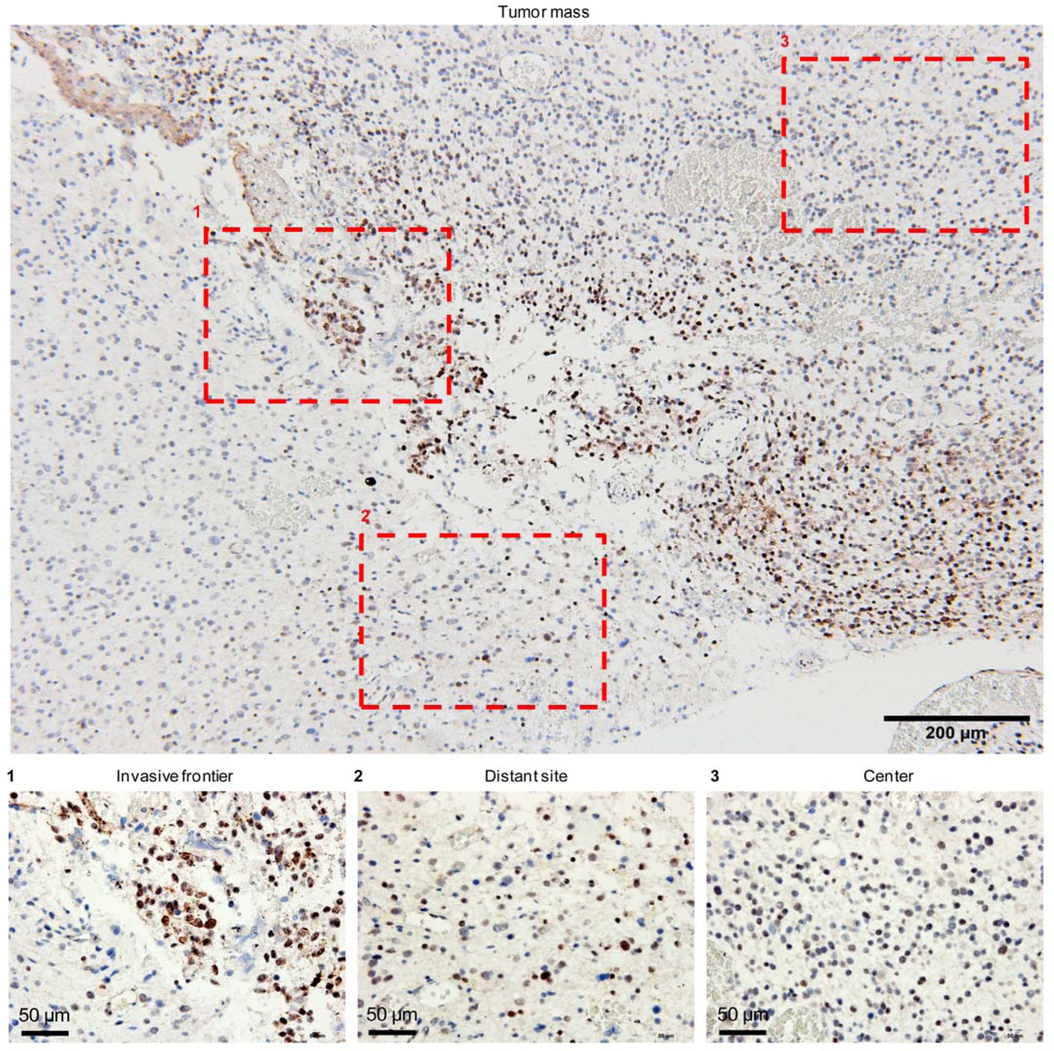
Supplementary Figure 9: Distribution of Sox9+ cells in different regions of human glioma samples.

Seven samples, 3 sections per sample, 1-20 high-power fields per section. Upper panel: Representative image of IHC staining. Dottedline. boxes (1-3) indicate the center, invasive frontier, and distant site of the tumor mass. Scale bar=200 μm. Lower panel: expanded. view of the inset regions (red box) shown in the upper panel. Scale bar=50 μm