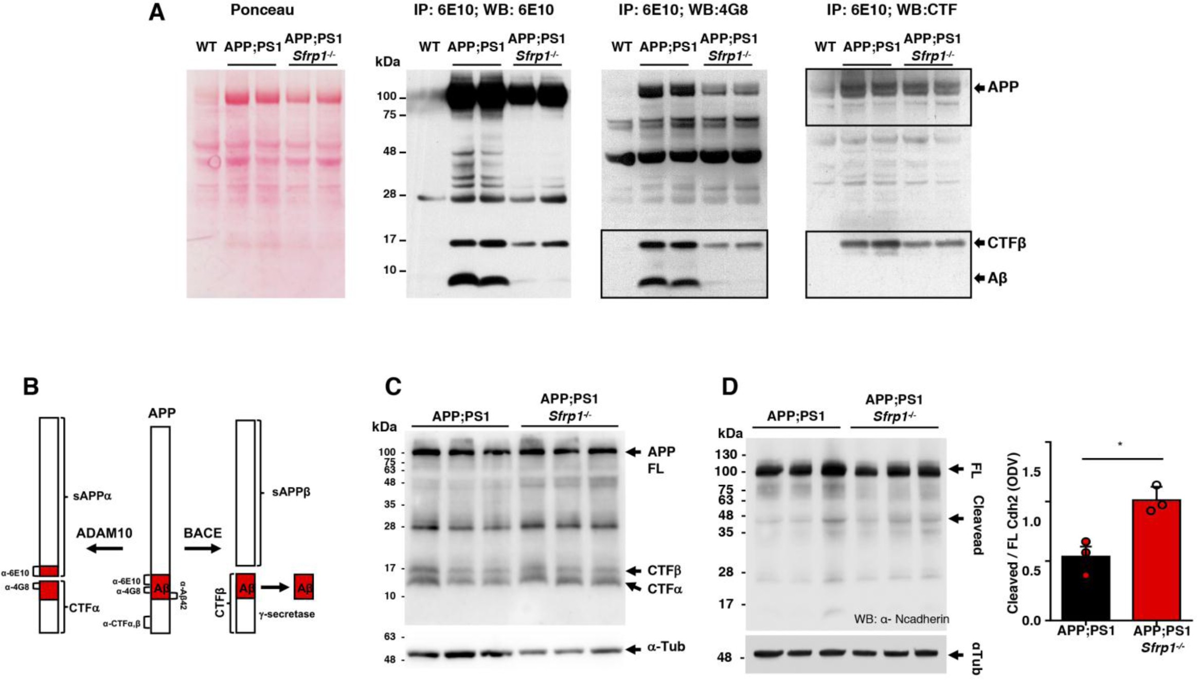
Supplementary Figure 10: Extended data from Fig. 6. ADAM10 activity is increased in the absence of Sfrp1.

A) Uncropped nitrocellulose membrane of the IP assay stained with Ponceau and WB images displayed in Fig. 6c. B) Schematic representation of the APP molecule to indicate which are the fragments recognized by each one of the antibodies against APP used in this study. The Aβ peptide is depicted in red. C) Uncropped Western blot images shown in Fig. 6e. D) Western blot analysis of N-cadherin (Cdh2) processing in APP;PS1 (n=3) and APP;PS1;Sfrp1-/- (n=3) brains. Values were normalized to α-Tubulin levels used as a loading control. Cleaved versus full-length levels of the protein were used to determine the degree of its processing, which is significantly increased in the absence of Sfrp1, indicating a higher ADAM10 activity. Data are means ± SEM analyzed with two-sided Student-t test; P=0.011. *p≤0.05.