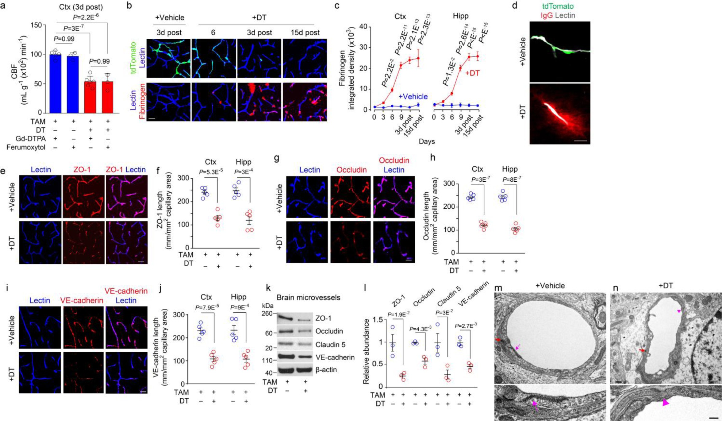
Supplementary Figure 4: Pericyte ablation leads to cerebral blood flow reductions and blood-brain barrier breakdown.
From: Pericyte loss leads to circulatory failure and pleiotrophin depletion causing neuron loss

(a) Cerebral blood flow (CBF) maps in the primary somatosensory cortex generated from dynamic susceptibility-contrast (DSC)-MRI scans with gadolinium (Gd-DTPA) or iron oxide-based contrast agent (Ferumoxytol) in TAM-treated pericyte-CreER; iDTR mice at 3 days post-DT (red) or vehicle (blue) treatment. Mean ± S.D. n = 5 mice/group for Gd-DTPA and n = 6 mice/group for Gd-DTPA + DT; n = 3 mice/group for Ferumoxytol and Ferumoxytol + DT. One way ANOVA followed by Bonferroni posthoc test. (b,c) Confocal microscopy images in Ctx (b) and quantification in Ctx and hippocampus (Hipp) (c) of perivascular blood-derived fibrinogen deposits (red, b) in 3-month old TAM-treated pericyte-CreER; Ai14; iDTR mice at 0, 3, 6 and 9 days of DT or vehicle treatment, and 3 and 15 days post-DT or vehicle. In b, lectin+ endothelial profiles (blue); tdTomato+ pericytes (green). Bar = 20 µm. In c, mean ± S.E.M., n = 5 mice/group, significance by one way ANOVA followed by Bonferroni posthoc test. (d) Immunoglobulin G (IgG, red) leakage at 3 days post-DT or vehicle treatment representative of n = 3 independent mice/group with similar results in TAM-treated pericyte-CreER; iDTR; Ai14 mouse from a capillary lacking pericyte coverage (right) compared to no IgG leakage in a mouse with intact pericyte coverage treated with TAM and vehicle (left); tdTomato (green), lectin (white). Bar = 15 µm. (e-j) Confocal microscopy images in Ctx of tight junction proteins ZO-1 (e, red) and occludin (g, red) and adherens junction protein VE-cadherin (i, red) co-stained with lectin (blue), and quantification of ZO-1 (f), occludin (h), and VE-cadherin (j) length on lectin+ endothelial profiles in Ctx and Hipp in TAM-treated pericyte-CreER; iDTR mice at 3 days post-DT or vehicle treatment. Bar = 20 µm. Mean ± S.E.M., n = 5 mice/group. (k,l) Western blots of ZO-1, occludin, claudin-5 and VE-cadherin in brain capillaries isolated from TAM-treated pericyte-CreER; iDTR mice at 3 days post-DT or vehicle treatment (k), and quantification of their protein abundance relative to β-actin loading control (l). Mean ± S.E.M., n = 3 mice/group. (m,n) Electron microscopy micrographs showing capillaries in TAM-treated pericyte-CreER; iDTR mice at 15 days post-treatment with vehicle (m) or DT (n). Mice received retro-orbital injection of horse radish peroxidase (HRP; MW=44 kDa) and were sacrificed 2 hours later. Images are representative of 30 independent vessels from n = 3 mice per group with similar results that show the rarity of HRP-filled vesicles in the endothelium of either vehicle-treated (control) or DT-treated animal (red arrows). Higher magnification insets underneath illustrate tight junction (TJ) in vehicle-treated animal (m; magenta arrow) compared to loss of TJ proteins between endothelial cells of DT-treated animal (n, magenta arrowhead). Bar = 0.5 µm for m and n; bar = 0.2 µm for insets. In f, h, j, and l significance by two-tailed Student’s t-test. (Supplementary Figure 3a-i). See Supplementary Figure 11 for full scans of Western blots used for quantification in k.