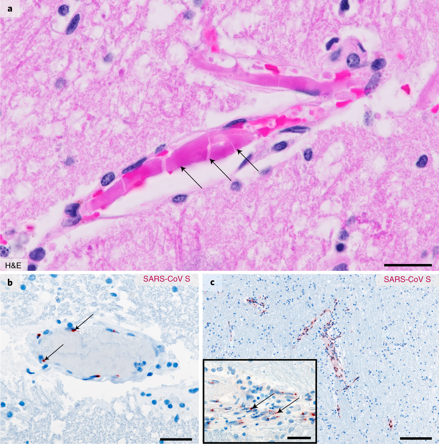
Fig. 6: Signs of (micro)thromboembolic events and SARS-CoV-2 immunostaining in the CNS of deceased individuals with COVID-19.

a, Hematoxylin and eosin (H&E)-stained FFPE section of the thalamus obtained from a deceased individual with COVID-19 (individual P26). Several small vessels exhibit fresh thrombi (pink, indicated by arrows) resulting in a large infarct of surrounding CNS tissue characterized by a substantial reduction of detectable neuronal and glial nuclei, edema and vacuolation. b,c, SARS-CoV S protein observed in the endothelial cells of small CNS vessels. Tissue with no obvious ischemic damage exhibits only sparse staining intensity in endothelial cells (b, medulla oblongata, n = 3 of 6; red, indicated by arrows, individual P3) when compared to endothelial cells within acute infarct areas (c, pons, n = 3 of 4; red, indicated by arrows, individual P4; inset depicts a magnified vessel from a different region of the same specimen exhibiting SARS-CoV S protein deposits within endothelial cells). Scale bars: 30 µm (a), 50 µm (b), 200 µm (c) and 40 µm (inset in c).