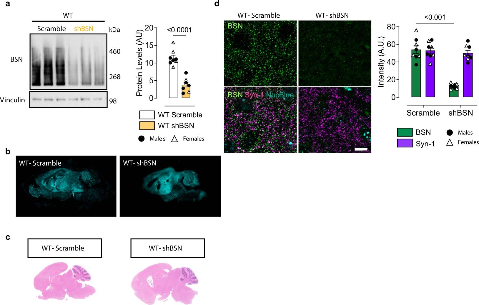
Extended Data Fig. 5: Murine bassoon downregulation does not produce gross brain abnormalities.
From: Bassoon contributes to tau-seed propagation and neurotoxicity

a, Western blot and quantification of BSN downregulation in WT mice. b, Detection of BFP2 reporter in AAV scramble and AAV shBSN mice, confirming the widespread expression of both sequences. c, H&E staining of WT mice injected with a scramble and shBSN shRNA. d, BSN and Syn-1 immunofluorescence in WT mouse cortexes injected scramble and shBSN shRNA, and mean intensity of BSN and Syn-1. Data are shown as the mean ± s.e.m. Experiments were performed with n = 8 (a–d). Significance was determined by unpaired two-tailed Student’s t-test (a), and one-way ANOVA (d).