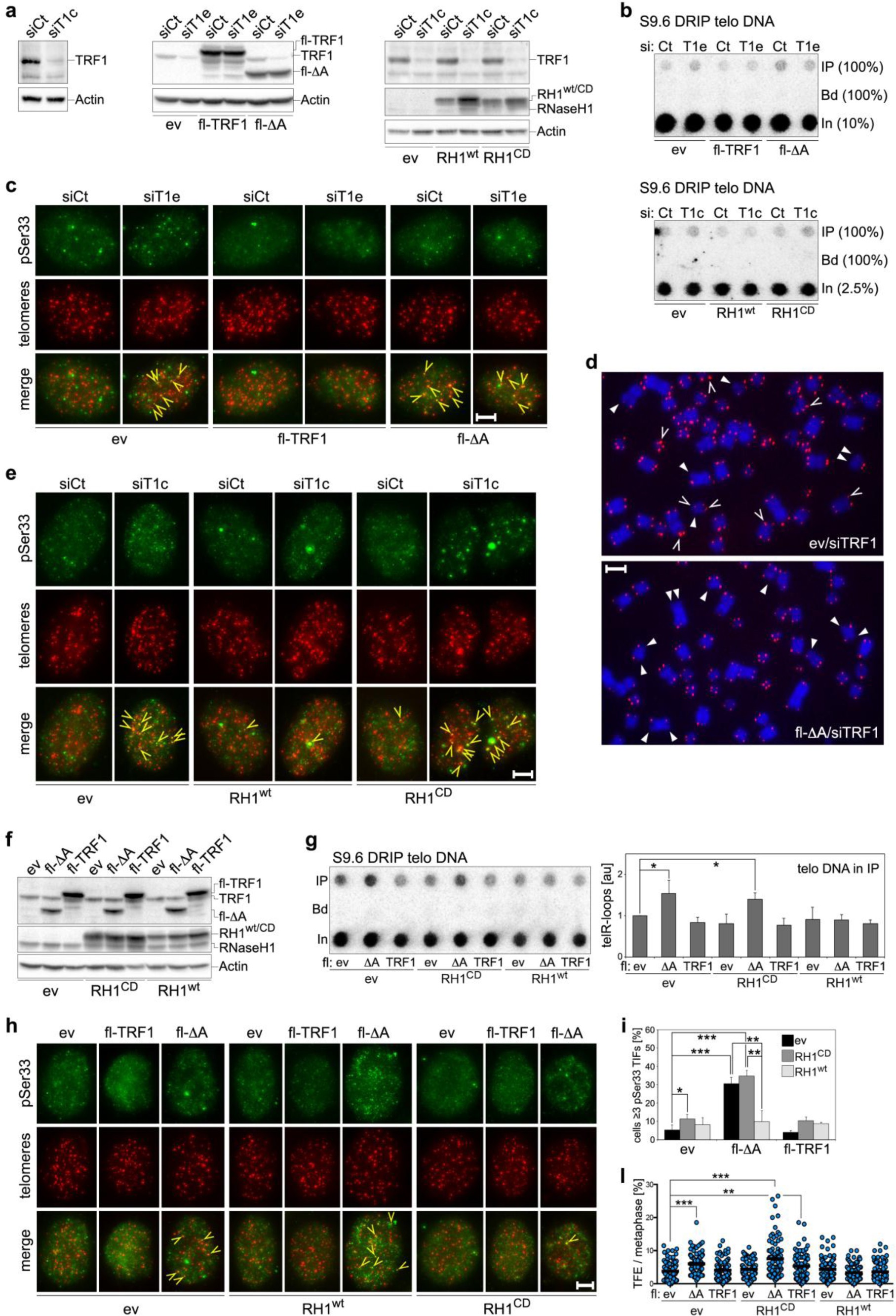
Supplementary Figure 4: TelR loops and telomere instability in HeLa cells depleted for TRF1 and/or expressing TRF1ΔA.
From: TRF1 participates in chromosome end protection by averting TRF2-dependent telomeric R loops

(a) Western blot analysis of HeLa cells transfected with siRNAs against TRF1 (siT1c or siT1e) and infected with retroviruses expressing fl-TRF1, fl-ΔA, RH1wt or RH1CD, or with empty vector (ev) retroviruses. TRF1, fl-TRF1 and fl-ΔA are detected using an anti-TRF1 antibody. Endogenous RNaseH1 and Myc-tagged RNaseH1 variants are detected using an anti-RNaseH1 antibody. Actin serves as a loading control. (b) Telomeric dot-blots of S9.6 DRIP experiments. Nucleic acids were collected 4 days after siRNA transfections and expression of ectopic proteins. In, input; Bd, beads only control; IP, S9.6 immunoprecipitated material. (c) pSer33 immunostaining (green) combined with telomeric DNA FISH (red) on cells transfected with siRNAs against TRF1 and infected with retroviruses expressing fl-TRF1 or fl-ΔA. Arrowheads point to examples of pSer33 TIFs. (d) Partial metaphases hybridized in situ with telomeric probes. Telomeres are in red, DNA in blue. Filled arrowheads point to TFEs, unfilled arrowheads to FTs. (e) pSer33 immunostaining combined with telomeric DNA FISH (red) on cells transfected with siRNAs against TRF1 and infected with retroviruses expressing myc-tagged RH1wt or RH1CD. Arrowheads point to pSer33 TIFs. (f) Western blot analysis of retrovirus-infected HeLa cells harvested 4 days after infections. (g) Telomeric dot-blot hybridization of S9.6 DRIPs of cells as in f. Signals are graphed as the fraction of input found in IPs after normalization to ev/ev cells. Values are means ± SD (n = 3 independent experiments). (h) Examples of pSer33 immunostaining on cells as in f. Arrowheads point to pSer33 TIFs. (i) Percentage of cells as in h with at least 3 pSer33 TIFs graphed as means ± SD (n = 3 independent experiments). *P < 0.05, **P < 0.005, ***P < 0.0001 (two-tailed Student’s t-test). (l) Quantification of TFEs in cells as in f harvested 7 days after infections. At least 4500 chromosomes from 3 independent experiments were analyzed for each condition. Dots are percentages of TFEs per chromosome end in one metaphase. Black bars are means. **P < 0.005, ***P < 0.0001 (Mann-Whitney U test). Scale bar in panels c, d, e and h, 5 μm.