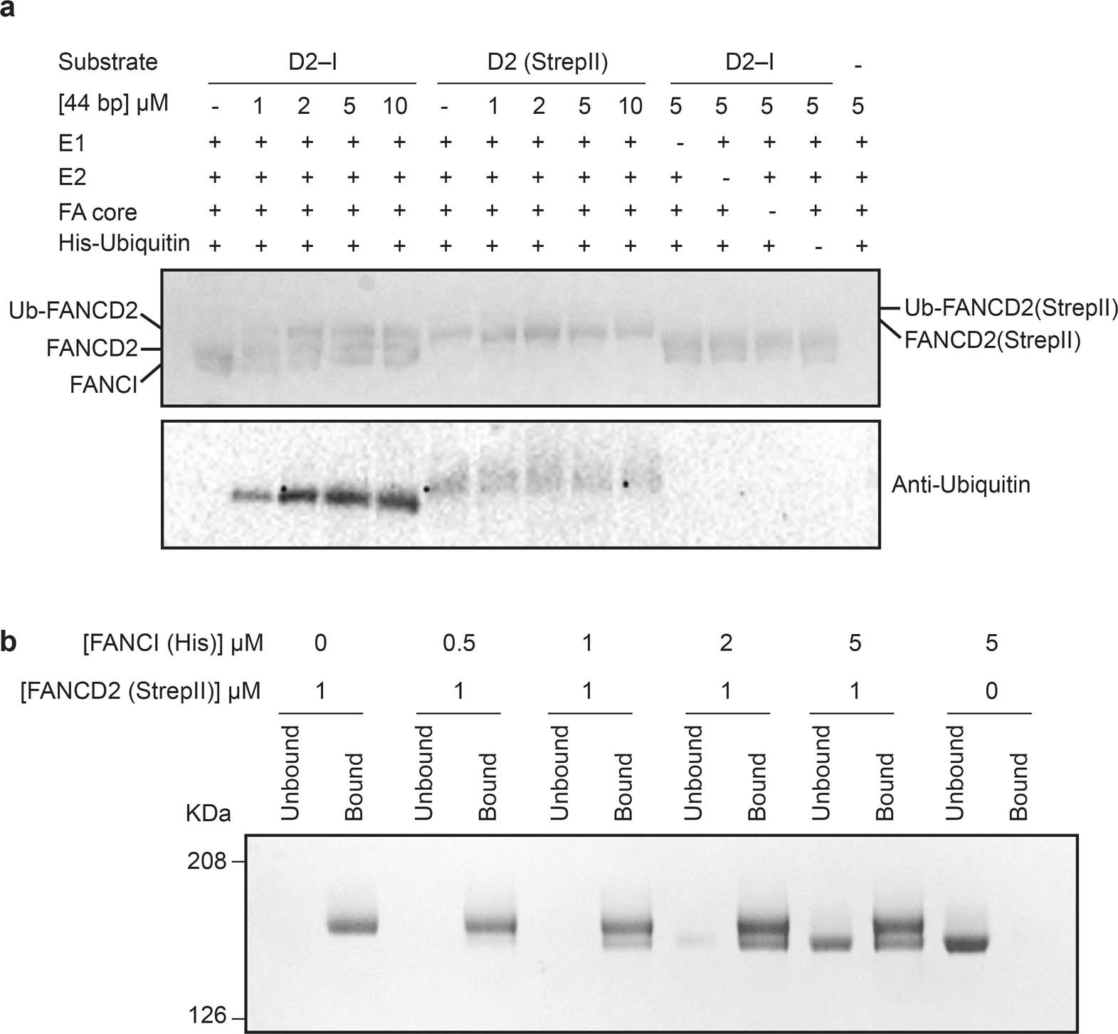
Extended Data Fig. 5: FANCD2 dimers cannot be ubiquitinated but they exchange with FANCI to form a D2–I heterodimer.
From: FANCD2–FANCI is a clamp stabilized on DNA by monoubiquitination of FANCD2 during DNA repair

a, Monoubiquitination assays of D2–I and FANCD2 homodimer. The FANCD2 homodimer had a StrepII-tag and was therefore larger than D2 in the D2–I complex. Monoubiquitination efficiency was analyzed by Coomassie blue SDS−PAGE (top) and western blotting the His-tagged ubiquitin (bottom). b, Exchange assay. The FANCD2 homodimer was immobilized on Strep-Tactin resin and incubated with free FANCI. The resin was washed, then bound and unbound fractions were analyzed via by SDS−PAGE. These data are representative of experiments performed twice. Uncropped images are available in Supplementary Fig. 1.