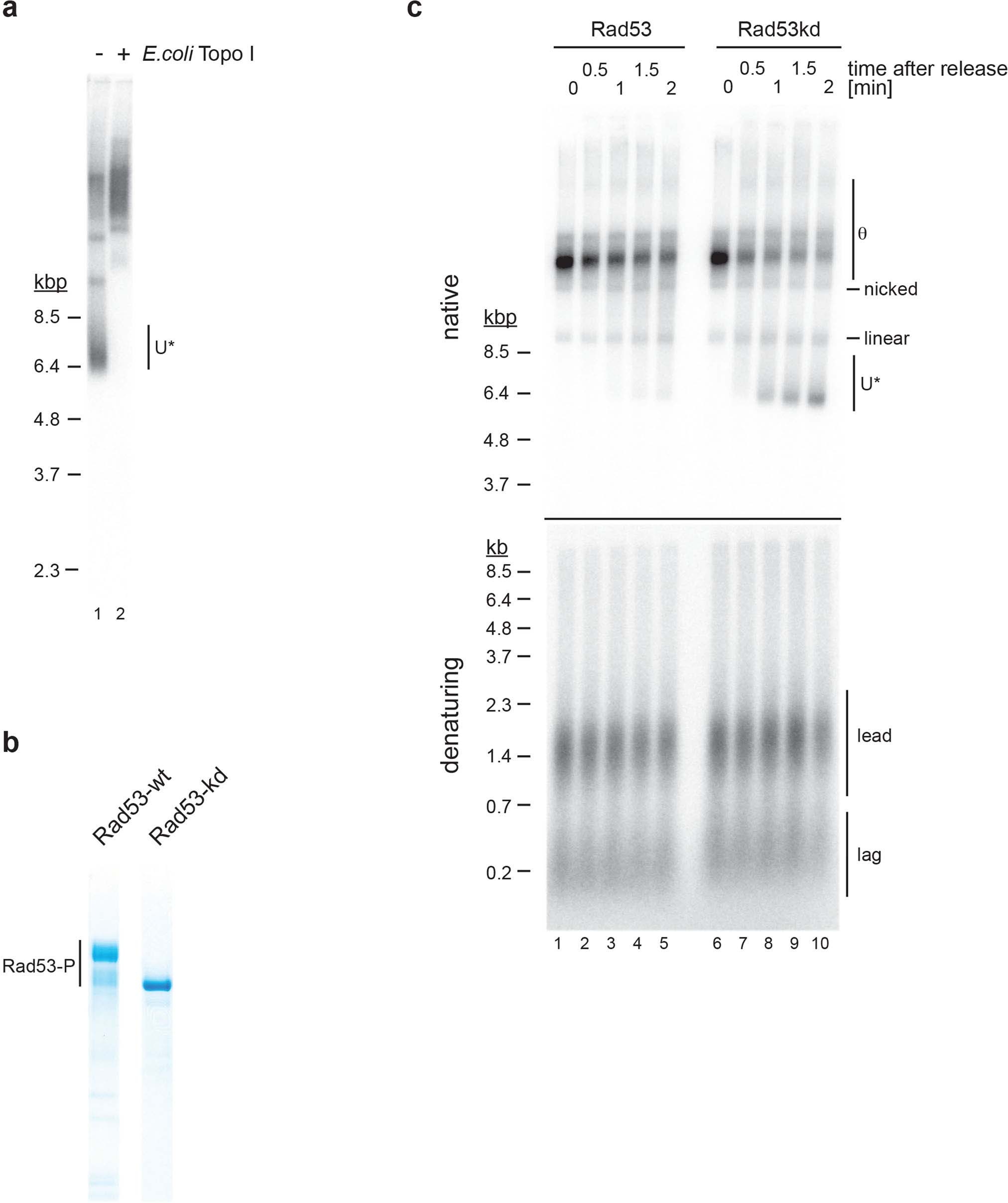
Extended Data Fig. 8: Inhibition of DNA unwinding after CMG uncoupling from DNA synthesis is dependent on the kinase activity of Rad53.
From: Rad53 limits CMG helicase uncoupling from DNA synthesis at replication forks

a, Experiment demonstrating that U* DNA obtained in the presence of aphidicolin is negatively supercoiled. DNA isolated from the reaction analyzed in Fig. 6c, lane 5, was either mock-treated (lane 1) or treated with E. coli Topo I (lane 2) and analyzed by native agarose gel-electrophoresis. b, Purified wild-type and kinase-dead Rad53 (Rad53kd). Rad53-P: Autophosphorylated forms of Rad53. c, Effect of Rad53 kinase activity on U* formation after fork release from topological block in the presence of aphidicolin. Reactions were carried out as in Fig. 6c, except that wild-type (lanes 1-5) or kinase-dead (lanes 6-10) Rad53 was added to the reaction prior to fork release. Uncropped gel images are available as source data.