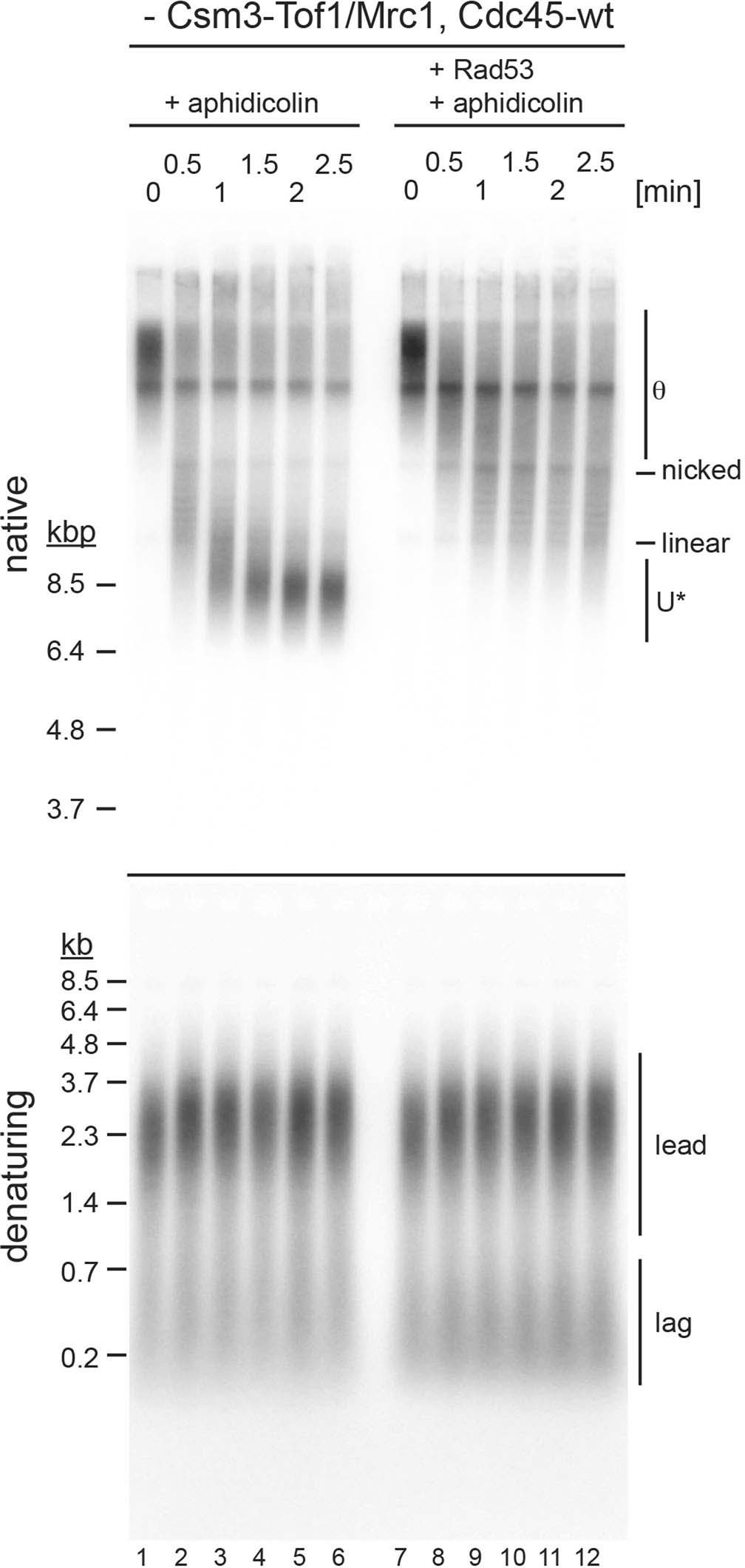
Extended Data Fig. 9: Inhibition of DNA unwinding after CMG uncoupling from DNA synthesis does not require CTM.
From: Rad53 limits CMG helicase uncoupling from DNA synthesis at replication forks

Experiment is as in Fig. 6c, except that Csm3-Tof1 and Mrc1 were omitted from the reaction. Uncropped gel images are available as source data.