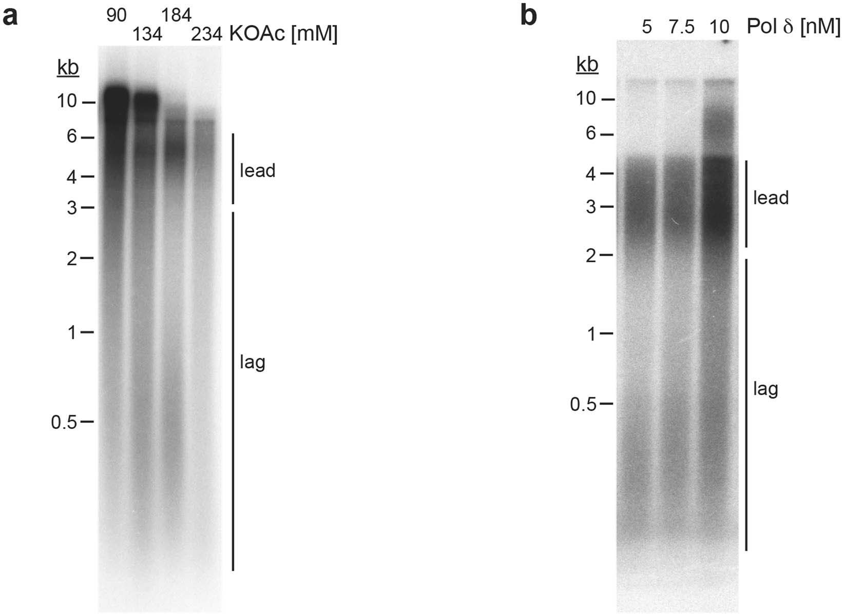
Extended Data Fig. 1: Reaction conditions affecting lagging strand synthesis in vitro.
From: Rad53 limits CMG helicase uncoupling from DNA synthesis at replication forks

a, Standard replication reactions were performed at various final salt concentrations as indicated. Template: pARS305. b, Titration of Pol δ into standard replication reactions. Template: pARS1. Reaction products were analyzed by 0.8 % alkaline agarose gel-electrophoresis and autoradiography. Uncropped gel images are available as source data.