Fig. 7
From: Multi sequence average templates for aging and neurodegenerative disease populations

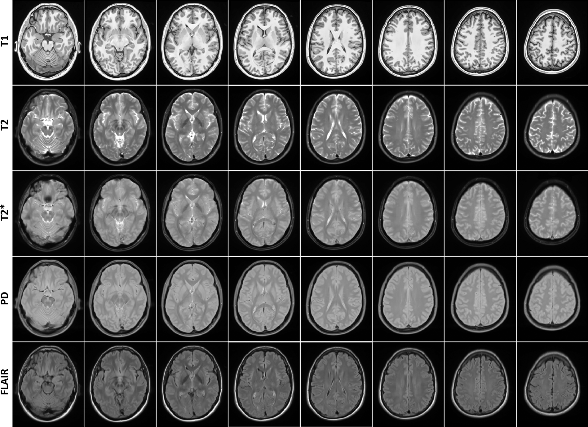
Axial slices of human phantom (SIMON) templates for all sequences.
From: Multi sequence average templates for aging and neurodegenerative disease populations

Axial slices of human phantom (SIMON) templates for all sequences.