Fig. 5
From: Children’s dental panoramic radiographs dataset for caries segmentation and dental disease detection

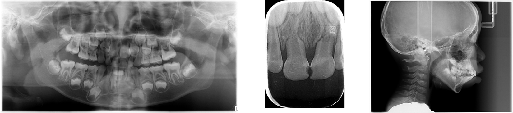
The figure shows three types of dental images we collected from hospitals, all of which are important tools for dentists to diagnose dental diseases. From left to right: dental panoramic radiographs, intraoral scan, CBCT.