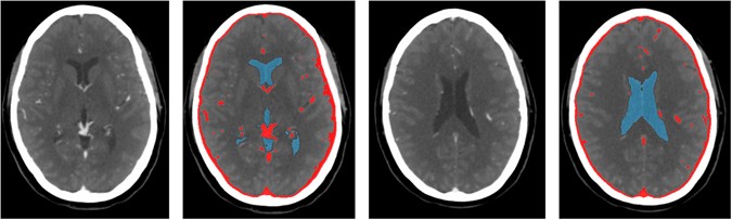
Figure 6
From: White Matter and Gray Matter Segmentation in 4D Computed Tomography

Examples of CSF and vessel segmentation using intensity information and morphological operations in the WTA image (window level/width 100/300 HU). These structures are masked in the intracranial image before WM and GM segmentation.