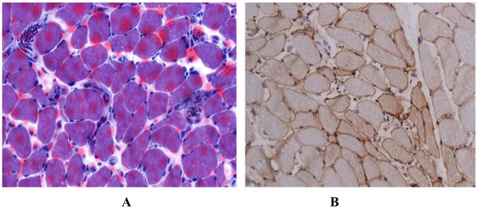
Figure 1

Histologic and immunohistologic analysis of muscle biopsies from the biceps of an anti-SAE antibody-positive patient. (A) Stain with HE (B) stain with anti-MHC-I antibody.

Histologic and immunohistologic analysis of muscle biopsies from the biceps of an anti-SAE antibody-positive patient. (A) Stain with HE (B) stain with anti-MHC-I antibody.