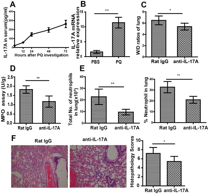
Figure 2

IL-17A is essential for neutrophil infiltration and ALI development in response to PQ. Mice were intravenously injected with either neutralizing antibody for IL17A (anti-IL17A; n = 6) or isotype-matched control IgG (rat IgG; n = 6) at one hour before they received PQ gavage. At 72 h after PQ challenge, the mice were sacrificed and lung tissues were collected. (A) Serum IL-17A level increased in a time-dependent manner following PQ challenge. At indicated time points after PQ gavage, the serum IL-17A levels were determined by ELISA. (B) IL-17A expression in the lung was up-regulated in response to PQ poisoning. The expression of IL-17A in the lung at 72 h after PQ challenge was determined by RT-PCR. (C–F) The W/D ratio (C), MPO activity (D), number and percentage of lung-infiltrating neutrophils (E) were significantly reduced in anti-IL-17A-treated mice, when compared to those treated with Rat IgG. (F) H&E staining (200×) revealed less severe lung damage in anti-IL-17A-treated mice than in Rat IgG-treated mice. All data are presented as mean ± SD for all mice in each group and compared between PQ- and PBS-challenged mice (A and B) or between the anti-IL17A- and rat IgG-injected mice (C to G). *P < 0.05, **P < 0.01, and ***P < 0.005.