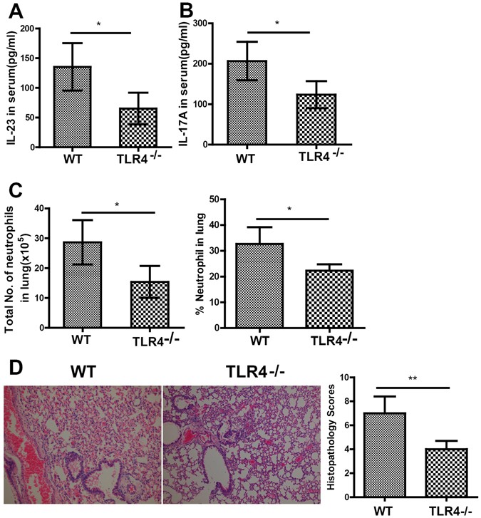
Figure 6

TLR4 mediates the activation of HMGB1-IL-23-IL-17A axis following PQ challenge. PQ gavage was performed on TLR4−/− or wild-type (WT) C57BL/6 mice. At 72 h after PQ challenge, TLR4−/− group presented significantly lower levels of the serum IL-23 (A), the serum IL-17A (B), the number and percentage of lung-infiltrating neutrophils (C), and the lung injury (200×) (D). All data were presented as mean ± SD for all mice in each group and compared between the TLR4−/− and WT mice. *P < 0.05.