Figure 1

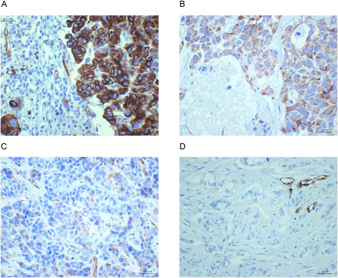
Nestin protein expression by immunohistochemistry. Nestin protein expression, strong (A), moderate (B), weak (C) and negative (D), in breast cancer tumour cells, with some positive tumour vessels in D (400x).

Nestin protein expression by immunohistochemistry. Nestin protein expression, strong (A), moderate (B), weak (C) and negative (D), in breast cancer tumour cells, with some positive tumour vessels in D (400x).