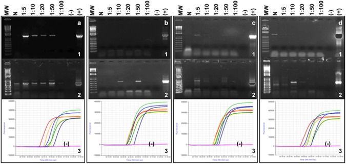
Figure 1

F2nR2-based PCR (1) and cpn60-based PCR (2) and LAMP amplification curves (3) applied to serial dilutions of infected berry plant DNA analyzed in this study. (a) Sample S05-L-MB (strawberry); (b) Bl01-L-JA (blueberry); (c) R05-L-MC (raspberry); (d) Bk02-L-JD (blackberry). No positive controls were included in the LAMP assay (3), and negative (−) in all cases refers to the “no template” control.