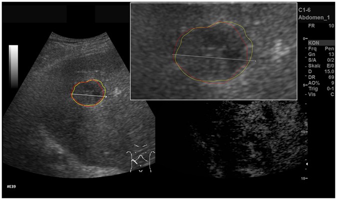
Figure 11
From: Interactive Outlining of Pancreatic Cancer Liver Metastases in Ultrasound Images

Comparison of manual and semi-automated segmentation of a pancreatic cancer liver metastasis. The native image with a zoomed view of the metastasis is presented (white box). The red outline represents the manual segmentation including the white arrow representing the manually drawn maximum diameter. The yellow line represents the result of the semi-automatic segmentation.