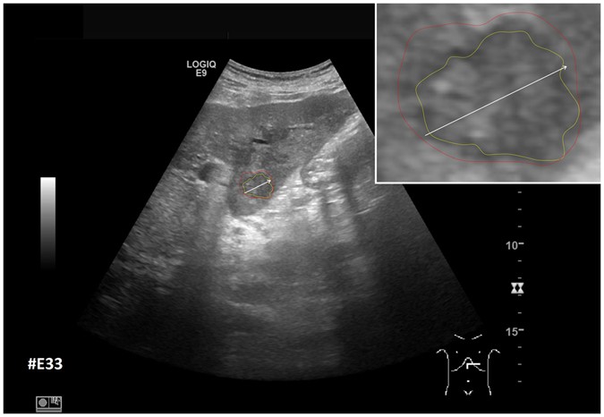
Figure 13
From: Interactive Outlining of Pancreatic Cancer Liver Metastases in Ultrasound Images

Example of a segmentation with a DSC of less than 80%. Depicted is the native image with a zoomed view of the metastasis (white box). The red outline represent the manual segmentation including the white arrow representing the manually drawn maximum diameter. The yellow outline represents the result of the semi-automatic segmentation.