Figure 6
From: In vivo dynamics of AAV-mediated gene delivery to sensory neurons of the trigeminal ganglia

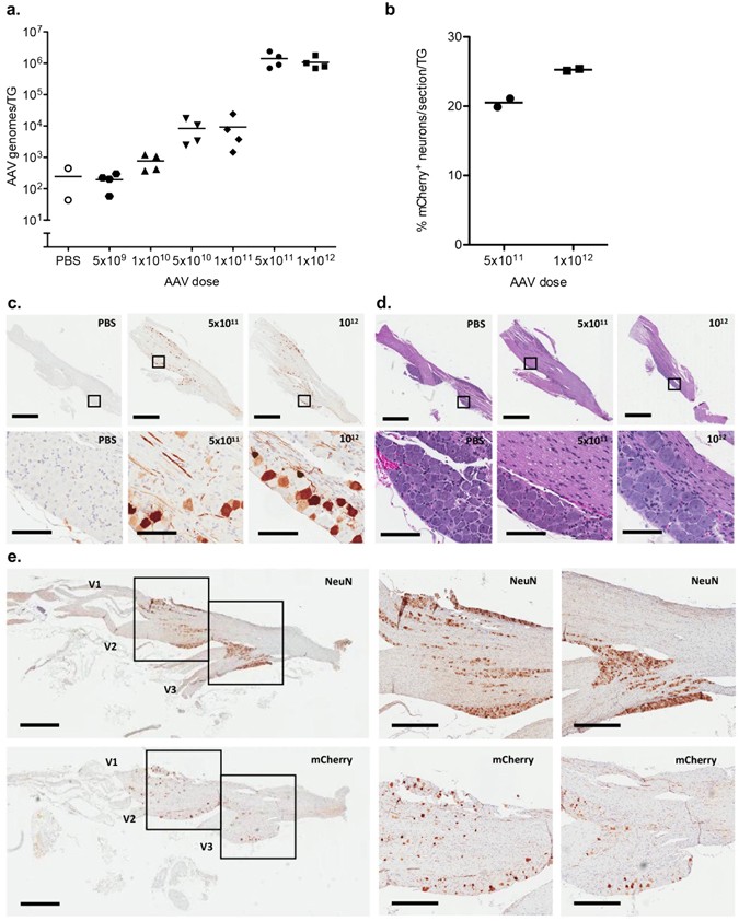
Dose optimization of scAAV1 gene delivery to trigeminal ganglia. Swiss Webster mice were inoculated by intradermal injection of the whiskerpad with PBS or increasing doses of scAAV1-smCBA-mCherry. At 6 weeks post AAV delivery trigeminal ganglia were analyzed for levels of vector genomes by qPCR (a). At the two highest doses the percentage of neurons positive for mCherry by immunohistochemistry were also determined (b). For qPCR each symbol represents one trigeminal ganglion (TG) from a total of either 2 animals for AAV1-treatment or 1 animal for PBS control for each dose. mCherry positive neurons were quantified using Cell Profiler software and each symbol represents the average number of mCherry positive neurons from 2 sections of one individual trigeminal ganglion (TG) from 1 animal for each dose. Representative sections stained by immunohistochemistry for mCherry (c) or with hematoxylin/eosin (d) are shown from PBS or scAAV1-smCBA-mCherry injected mice. Representative sections showing NeuN staining (Upper panel) or mCherry staining (Lower panel) in the V1 (Olfactory), V2 (Maxillary) and V3 (Mandibular) branches of the trigeminal ganglion are shown for animals that received 1 × 1012 vector genomes of scAAV1-smCBA-mCherry (e). Scale bars for c/d: upper panels - 1 mm, lower panels - 100 μm. Scale bars for e: left panel - 1 mm, right two panels - 500 μm.