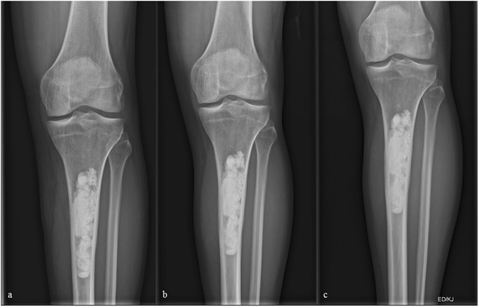
Figure 1

(a–c) X-ray of a 36 year-old male patient few days following curettage of a low-grade chondrosarcoma of the left proximal tibia. (b and c) Follow-up radiographs 7 and 13 months following index surgery showing integration but no resorption of the artificial bone graft substitute.