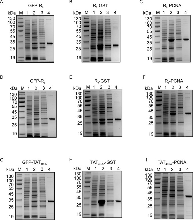
Figure 9

Analysis of arginine-rich peptide-tagged protein purification from E. coli total protein extract using AR aptamer-based chromatography. The recombinant proteins: GFP-R6 (A), R6-GST (B), R6-PCNA (C), GFP-R8 (D), R8-GST (E), R8-PCNA (F), GFP-Tat49–57 (G), Tat49–57-GST (H) and Tat49–57-PCNA (I) were overexpressed and purified from E. coli total protein extract using AR aptamer. Lanes: M) molecular weight marker; 1) non-induced BL21-CodonPlus(DE3)-RIL[pET29a arginine-rich peptide-tagged protein] cells; 2) induced BL21-CodonPlus(DE3)-RIL [pET29a arginine-rich peptide-tagged protein] cells; 3) cell lysate; 4) 4 μg of protein sample eluted from AR aptamer-based resin using ARGI buffer supplemented with GuHCl. The samples were denatured and separated on 12% SDS-PAGE followed by Coomassie brilliant blue staining. This is one of three independent experiments which is representative.