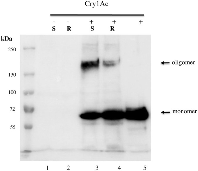
Figure 3

Oligomerization of Cry1Ac in the presence of BBMV from susceptible and resistant populations of P. xylostella. Cry1Ac activated toxin (1.5 μg) was incubated with BBMV (20 μg) from P. xylostella susceptible Geneva 88 or resistant NO-QAGE, the whole sample was separated by SDS-PAGE after three min heating at 60 °C and revealed in western blot using anti-Cry1Ac antibody as described in Experimental procedures. Lane 1, BBMV from Geneva 88; lane 2, BBMV from NO-QAGE; lane 3, Cry1Ac incubated with BBMV from Geneva 88; lane 4, Cry1Ac incubated with BBMV from NO-QAGE; lane 5, Cry1Ac toxin without BBMV.