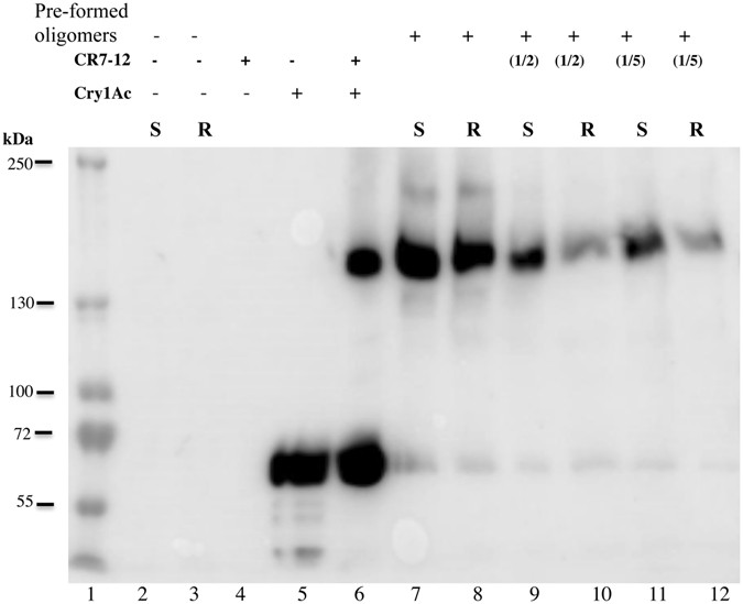
Figure 4

Association of preformed Cry1Ac oligomer with BBMV from susceptible and resistant populations of P. xylostella. One μg of Cry1Ac toxin was incubated with M. sexta cadherin fragment CR7-CR12 (1:4) for two h and Cry1Ac oligomers were revealed by western blot as described in experimental procedures. BBMV (20 μg) were incubated 1 h with pre-formed oligomers and BBMV were recovered by centrifugation and revealed by western blot. Lane 1, molecular weight markers; lane 2, BBMV from Geneva 88; lane 3, BBMV from NO-QAGE; lane 4, CR7-CR12 protein fragment; lane 5, Cry1Ac activated toxin; lane 6, CR7-CR12 fragment with Cry1Ac toxin; lane 7, BBMV from Geneva 88 incubated with preformed Cry1Ac oligomer; lane 8, BBMV from NO-QAGE incubated with preformed Cry1Ac oligomer; lane 9, BBMV from Geneva 88 incubated with preformed Cry1Ac oligomer diluted two-fold; lane 10, BBMV form NO-QAGE incubated with preformed Cry1Ac oligomer diluted two-fold; lane 11, BBMV from Geneva 88 incubated with preformed Cry1Ac oligomer diluted five-fold; lane 12, BBMV from NO-QAGE incubated with preformed Cry1Ac oligomer diluted five-fold.