Figure 7

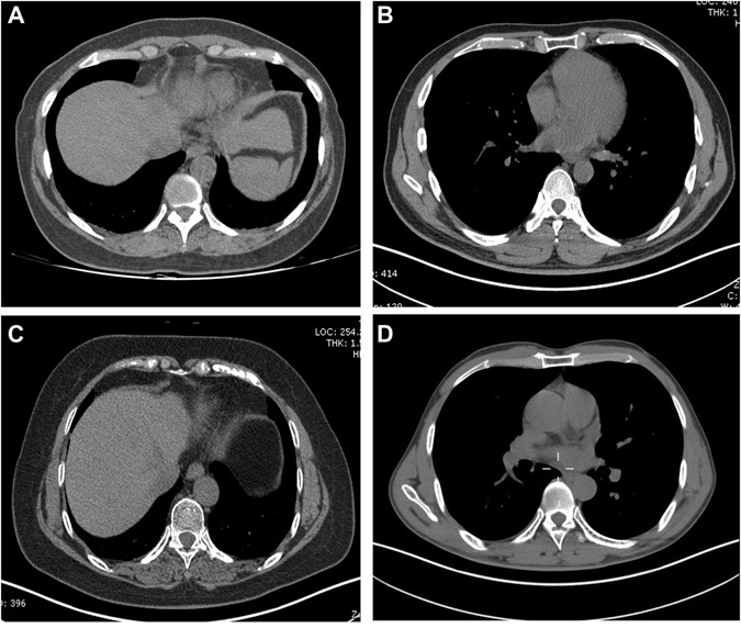
Calcification patterns of costal cartilage. Calcification patterns of costal cartilage were divided into the following types: (A) central, (B) peripheral, (C) mixed and (D) no calcification.

Calcification patterns of costal cartilage. Calcification patterns of costal cartilage were divided into the following types: (A) central, (B) peripheral, (C) mixed and (D) no calcification.