Figure 6
From: The role of PTEN - HCV core interaction in hepatitis C virus replication

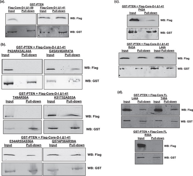
HCV core R50 is the key residue for interaction with PTEN. Huh-7 cells were co-transfected with GST-PTEN-expressing plasmid, together with plasmids expressing truncated HCV core, either wild-type (a), with multiple (b) or single (c) amino acid mutations, or full-length (FL) HCV core with single amino acid mutations (d). The core proteins have a Flag-tag at the N-termini. At 48 hours after transfection, cell lysates were subjected to GST pull-down assay. Input and pull-down products were analyzed by Western blotting (WB) using anti-Flag and anti-GST antibodies, respectively. Western blots for Flag-HCV core and GST-PTEN in Fig. 6b were cropped images from full-length blots to ensure lane alignment and the full-length blots can be found in Supplementary Information.