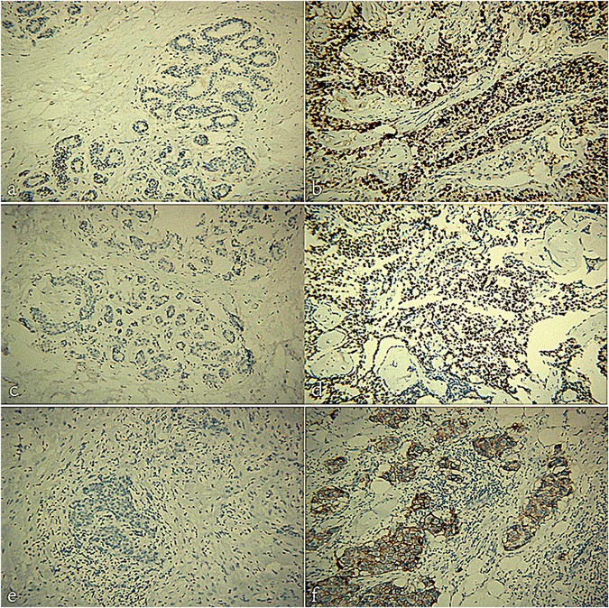
Figure 4

Representative immunohistochemical staining of estrogen receptor (ER), progesterone receptor (PR), and C-erbB-2. (a) ER status (negative); (b) ER status (positive); (c) PR status (negative); (d) PR status (positive); (e) C-erbB-2 expression (negative); and (f) C-erbB-2 expression (positive).