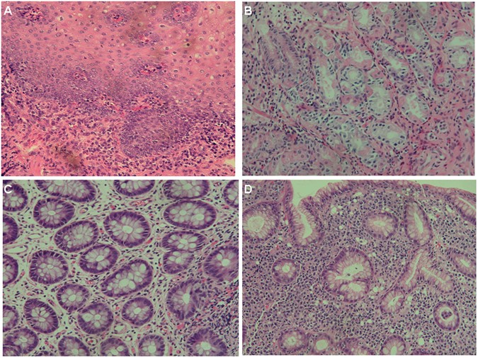
Figure 4

An endoscopic biopsy in patient 2 demonstrated (A) moderate lymphocytic infiltrates in the oesophagus (H&E staining, 200X) and (B) paucity of plasma cells in the stomach (H&E, 400X). (C) In patient 3, repeated colonic biopsies disclosed mildly increased lymphocytes and decreased plasma cells without granuloma, ulcer, or cryptitis (H&E, 400X). (D) A gastric biopsy in patient 5 revealed chronic active gastritis and colonization of Helicobacter pylori (H&E, 200X).