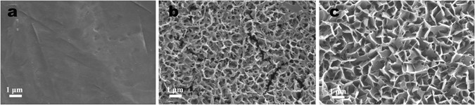
Figure 1
From: Surface bioactivation through the nanostructured layer on titanium modified by facile HPT treatment

SEM images of surface morphologies for Ti plates: (a) pure Ti surface, (b) treated at 100 °C for 4 h in 10 M NaOH solution under atmospheric pressure and (c) treated at 120 °C for 240 mins in 10 M NaOH solution under 0.15 MPa.