Figure 3

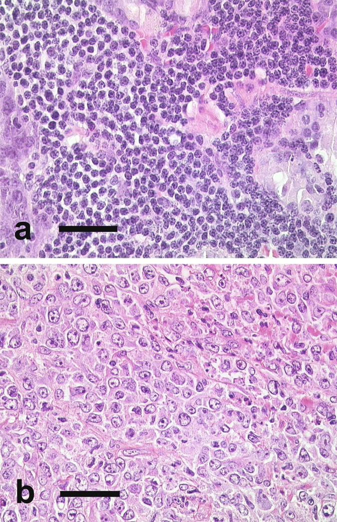
Histology of a typical small cell gastric marginal zone B-cell lymphoma (a) and large cell variant of a gastric marginal zone B-cell lymphoma with blastic cytology ((b); bar = 50 μm).

Histology of a typical small cell gastric marginal zone B-cell lymphoma (a) and large cell variant of a gastric marginal zone B-cell lymphoma with blastic cytology ((b); bar = 50 μm).