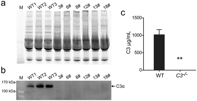
Figure 3
From: Generation of complement protein C3 deficient pigs by CRISPR/Cas9-mediated gene targeting

C3 protein expression analysis of piglet serum. (a) Stain-free gel image of total loaded serum proteins. (b) Western blot of serum C3 protein of cloned piglets compared to that of wild type piglets. Full-length blot is presented in Supplementary Figure S3. (c) Serum C3 protein levels of C3 KO piglets and wild type controls were assessed by ELISA (**P < 0.01, data are shown as mean ± SEM, n = 3).