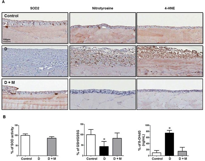
Figure 10

Effect of Metformin on Intraperitoneal Oxidative Stress in Animal Model of Peritoneal Dialysis. (A) In dialysis group (D), a decrease in superoxide dismutase 2 (SOD2) with an increased staining of nitrotyrosine (NT) and 4-hydroxynonenal (4-HNE) in peritoneal membrane is observed. Rats in group D + M demonstrates an alleviation of altered expression of SOD2, NT and 4-HNE. (B) SOD activity and GSH/GSSG in peritoneal effluent are significantly decreased in group D with an increase in 8-OH-dG, which are ameliorated in group D + M. Representative immunohistochemical staining of parietal peritoneum is shown (A) Magnification ×200. N = 4. *p < 0.05 vs. others.