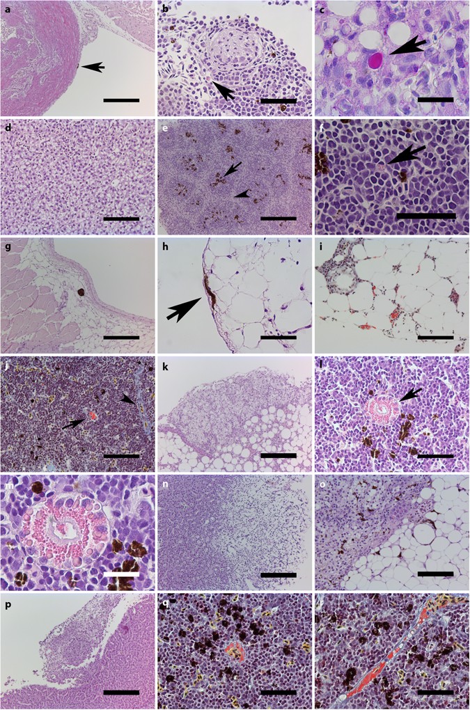
Figure 4

Histological examination of sampled tissues. Unless otherwise stated, samples are HE-stained. (a) Melanomacrophage(s) in bulbus arteriosus, FIA group, three weeks post vaccination (3 wpv). Scalebar (sb)=200 µm. (b) Mott cell in anterior kidney, control group, 3 wpv. Sb = 100 µm. (c) Mott cell in liver, PAS stained, 10 wpv. Sb = 20 µm. (d) Hepatocellular vacuolization, 3 wpv. Sb = 100 µm. (e) Clear distinction between red (arrowhead) and white (arrow) splenic pulps with melanomacrophages in white pulp, CpG group, 10 wpv. Sb = 200 µm). (f) Eosinophilic granule cell in anterior kidney, FIA group, 10 wpv. Sb = 50 µm. (g) Melanomacrophage(s) in extraperitoneal adipose tissue, TBS group, 10 wpv. Sb = 200 µm. (h) Melanomacrophages in intraperitoneal adipose tissue, bacterin group, 3 wpv. Sb = 50 µm. (i) Fibrin deposits in intraperitoneal adipose tissue, MSB stain, bacterin group, 3 wpv. Sb = 100 µm. (j) Fibrin deposits in anterior kidney. Fibrin stain (arrow), as well as collagen and erythrocytes (arrowhead) are seen, MSB stain, CpG group, 3 wpv. Sb = 100 µm. (k) Inflammation in intraperitoneal adipose tissue, CAF01 group, 3 wpv. Sb = 200 µm. (l) Apparent liposomes in anterior kidney, CAF01 group, 3 wpv. Sb = 50 µm. (m) Higher magnification of L. Sb = 20 µm. (n) Hepatic necrosis, CAF01 group, 10 wpv. Sb = 200 µm. (o) Inflammation in spleen, CAF01 group, 10 wpv. Sb = 100 µm. (p) Inflammation in liver, FIA group, 3 wpv. Sb = 100 µm. (q) Fibrin deposits in anterior kidney, MSB stain, FIA group, 3 wpv. Sb = 50 µm. (r) Fibrin deposits in anterior kidney, MSB stain, FIA group, 10 wpv. Sb = 50 µm.