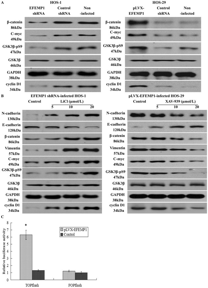
Figure 10

Effects of fibulin-3 on the Wnt/β-catenin signaling pathway by Western blot (cropped blot). (A) Fibulin-3 knockdown reduced the expression of GSK3β-pS9, β-catenin, C-myc, and cyclin D1; in contrast, fibulin-3 upregulation increased the expression of GSK3β-pS9, β-catenin, C-myc, and cyclin D1. (B) Wnt signaling pathway activator LiCl could promote the Wnt/β-catenin pathway and EMT, both of which were deactivated by fibulin-3 knockdown; meanwhile, Wnt signaling pathway inhibitor XAV-939 could significantly inhibit the Wnt/β-catenin pathway and EMT, both of which were activated by fibulin-4 upregulation. (C) Cells were transfected with TOPFLASH or FOPFLASH construct. After 48 h, luciferase activity was determined by the dual-luciferase system. The pRL-TK Renilla luciferase reporter construct was co-transfected in each sample to normalize transfection efficiency. The luciferase activity of the reporter is expressed relative to the activity in control cells, which is defined as 1.0. *P < 0.05.