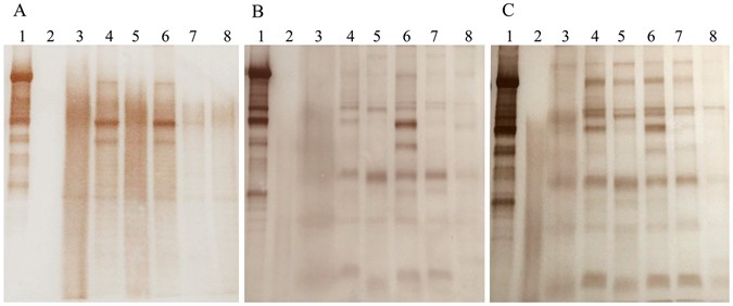
Figure 8

Western blot analysis of Vtg induction in different tissues of adult male guppy exposed to 50 (A), 100 (B), and 200 ng/L E2 (C) for 21 days. Lane 1, WBH of ovariectomized female fish; lane 2, WBH of control male fish; lane 3, skin; lane 4, caudal fin; lane 5, gonad; lane 6, liver; lane 7, eye; lane 8, brain.