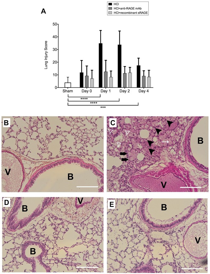
Figure 7

Histological features of lung injury. (A) On days 1, 2 and 4, lung injury scores were higher in acid-injured mice (HCl group), compared to sham controls (Sham group)(n = 4–6 for each time-point). In contrast, lung injury scores were lower in mice treated with anti-RAGE mAb (HCl + anti-RAGE mAb group) or sRAGE (HCl + recombinant sRAGE group) than in untreated acid-injured mice (HCl group) at all time-points, and similar to those in sham animals. Lung injury was assessed on a scale of 0–2 for each of the following criteria: i) neutrophils in the alveolar space, ii) neutrophils in the interstitial space, iii) number of hyaline membranes, iv) amount of proteinous debris, and v) extent of alveolar septal thickening. The final injury score was derived from the following calculation: Score = [20x(i) + 14x(ii) + 7x(iii) + 7x(iv) + 2x(v)]/(number of fields × 100). As no difference was observed between sham animals at all time points; the results from sham mice were mixed for analyses (left bar of the X-axis). Values are reported as means ± standard deviations. ***P < 10−3; ****P < 10−4 versus sham controls. (B–E) Representative hematoxylin and eosin stained sections of lung tissue, on day 2 after acid injury. (B) Sham controls (Sham group), (C) acid-injured animals (HCl group) and (D) acid-injured animals treated with anti-RAGE monoclonal antibody (HCl + anti-RAGE mAb group), (E) acid-injured animals treated with sRAGE (HCl + recombinant sRAGE group). There was greater cellularity consisting mainly of neutrophils (black arrowheads) on day 2 after injury, with more areas of atelectasis and increased alveolar disruption, hyaline membranes (white arrowheads), proteinous debris, haemorrhage (white arrow) and the thickening of the alveolar wall (black arrows). B: Bronchus lumen, V: Vessel. Original magnification × 20. Scale bars 50 μm.