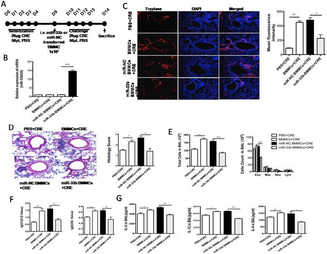
Figure 7

MiR-33b inhibits lung inflammation in mice engrafted with miR-33b BMMCs. (A) Protocol for the adoptive transfer of BMMCs in the cockroach allergen-induced mouse model of asthma. (B) qRT-PCR was used measure miR-33b expression. (C) Tryptase expression and quantities in the lung sections of CRE-challenged C57BL/6 mice with adoptively transferred miR-NC or miR-33b BMMCs. (D) Representative H&E-stained paraffin lung tissue sections from C57BL/6 (n = 6) that were adoptively transferred with miR-NC or miR-33b BMMCs in the CRE-induced mouse model of asthma. (E) Cellular inflammation as indicated by the total cell numbers and differentiated leukocyte cell numbers in the BALF. (F) The specific IgE and IgG1 levels of the transfected mice were determined using ELISA assays. (F) The Th2 cytokines IL-4, -5 and -13 were measured in the transfected mice model. The data are representative of three independent experiments (n = 4–6 mice/group). The data are presented as the means ± SEM. *P < 0.05, **P < 0.01, ***P < 0.001.