Figure 1
From: Effect of GOLPH3 on cumulus granulosa cell apoptosis and ICSI pregnancy outcomes

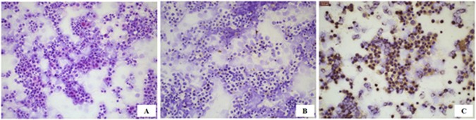
Immunohistochemical staining of GOLPH3 in cumulus granulosa cells. (A) HE staining of cumulus granulosa cells, ×20; (B) Negative GOLPH3 expression in cumulus granulosa cells with DAB staining and hematoxylin counterstaining, and PBS serves as the primary antibody, ×20; (C) Positive GOLPH3 expression in cumulus granulosa cells with DAB staining and hematoxylin counterstaining, ×20.